25% Off Select Antibodies and ELISA Kits
Sign In/Register 0

We use cookies, check our Privacy Policies.

KSP-Cadherin (AB1515) mouse mAb
KSP-Cadherin (AB1515) mouse mAb

Assay Biotechnology Inc Antibodies and ELISA Kits have been rigorously validated for laboratory grade quality results. High specificity paired with high affinity for targets of interest give researchers an advantage with our products

Catalog No: V0089
Species Reactivity:Human; Mouse;
Application:Immunohistochemistry (IHC)
Host:Mouse
Clonality:Monoclonal
Storage and Stability:Store at-20℃. Avoid freeze / thaw cycles.

$75
Product Details
Product Name
KSP-Cadherin (AB1515) mouse mAb
Description
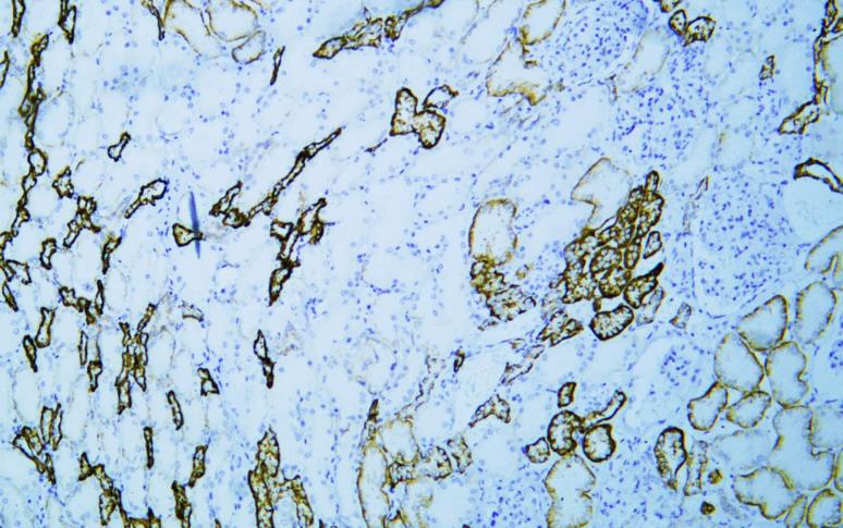
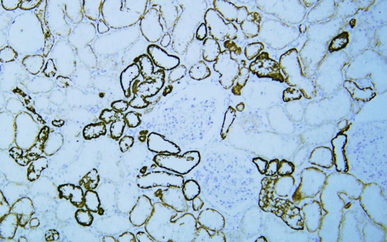
KSP-cadherin, also known as cadherin-16, is a new member of the calcium adhesion molecule family and plays an important role during embryonic development. It was specifically expressed in kidney, only in renal tubular epithelium, basement membrane and collecting duct epithelium, but not in glomerulus, renal interstitial cells and blood vessels. The loss of these adhesion molecules in renal cell tumors may be related to tumor dedifferentiation and lymph node metastasis. KSP-cadherin has a sensitivity of up to 100% in renal chromophobe cell carcinoma and 95% in renal eosinophilic adenoma.
Catalog No
V0089
Species Reactivity
Human; Mouse;
Clonality
Monoclonal
Host
Mouse
Modifcation
Unmodified
Clone
AB1515
Isotype
IgG1, kappa
Application
Immunohistochemistry (IHC)
Application Dilutions
IHC, 1:200-1:400
Immunogen
A synthetic peptide corresponding to the amino acid region 1 - 100 of the human KSP - Cadherin protein.
Specificity
The antibody can specifically recognize human KSP-Cadherin protein.
Formulation
The antibody is provided in liquid form in phosphate - buffered saline with 50% glycerol, 0.05% BSA, and 0.05% Proclin 300.
Purification
The antibody was purified by affinity chromatography using a specific immunogen.
Storage and Stability
Store at-20℃. Avoid freeze / thaw cycles.
Gene Name
CDH16 UNQ695/PRO1340
Gene ID
1014
Human swiss
O75309
Protein Name
KSP-Cadherin
Synonyms
Cadherin-16 (Kidney-specific cadherin, Ksp-cadherin)
Related Products