25% Off Select Antibodies and ELISA Kits
Sign In/Register 0

We use cookies, check our Privacy Policies.

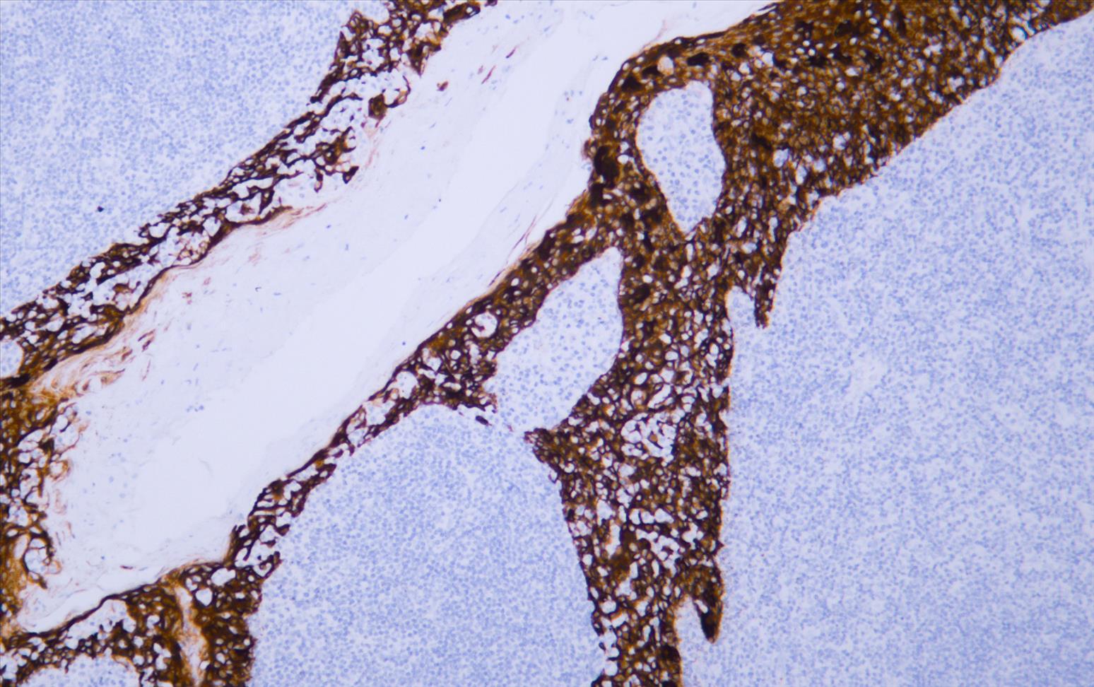
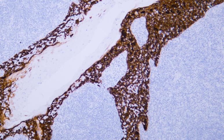
Cytokeratin 5 (AB1528) mouse mAb
Cytokeratin 5 (AB1528) mouse mAb

Assay Biotechnology Inc Antibodies and ELISA Kits have been rigorously validated for laboratory grade quality results. High specificity paired with high affinity for targets of interest give researchers an advantage with our products

Catalog No: V0054
Species Reactivity:Human; Dog;
Application:Immunohistochemistry (IHC)
Host:Mouse
Clonality:Monoclonal
Storage and Stability:Store at-20℃. Avoid freeze / thaw cycles.

$75
Product Details
Product Name
Cytokeratin 5 (AB1528) mouse mAb
Description
CK5 is a cytokeratin with a molecular weight of 58 kDa. In normal tissues, CK5 is expressed in squamous epithelium, germinal layer cells of some squamous epithelium, basal cells of ductal epithelium, myoepithelial cells and mesothelial cells, and almost no expression in most glandular epithelial cells. Therefore, it can be used for the differential diagnosis of squamous cell carcinoma and adenocarcinoma, mesothelioma and adenocarcinoma, as well as benign and malignant tumors of prostate, breast and salivary gland epithelium.
Catalog No
V0054
Species Reactivity
Human; Dog;
Clonality
Monoclonal
Host
Mouse
Modifcation
Unmodified
Clone
AB1528
Isotype
IgG2a, kappa
Application
Immunohistochemistry (IHC)
Application Dilutions
IHC, 1:200-1:400
Immunogen
A synthetic peptide corresponding to the amino acid region 500 - 590 of the human Cytokeratin 5 protein.
Specificity
The antibody can specifically recognize human CK5 protein, and shows no cross reaction with CK6.
Formulation
The antibody is provided in liquid form in phosphate - buffered saline with 50% glycerol, 0.05% BSA, and 0.05% Proclin 300.
Purification
The antibody was purified by affinity chromatography using a specific immunogen.
Storage and Stability
Store at-20℃. Avoid freeze / thaw cycles.
Gene Name
KRT5
Gene ID
3852
Human swiss
P13647
Protein Name
Cytokeratin 5
Synonyms
58 kDa cytokeRatin, CK-5, CK5, CytokeRatin-5, CytokeRatin5, DDD, DDD1, EBS2, epidermolysis bullosa simplex 2 Dowling-Meara/Kobner/Weber-Cockayne types, K2C5_HUMAN, K5, keRatin 5 (epidermolysis bullosa simplex, Dowling-Meara/Kobner/Weber-Cockayne types) , KeRatin 5, KeRatin, keRatin complex 2, basic, gene 5, keRatin, type II cytoskeletal 5, KeRatin-5, KeRatin5, KRT 5, Krt5, KRT5A, type II cytoskeletal 5, Type-II keRatin Kb5
Related Products