25% Off Select Antibodies and ELISA Kits
Sign In/Register 0

We use cookies, check our Privacy Policies.

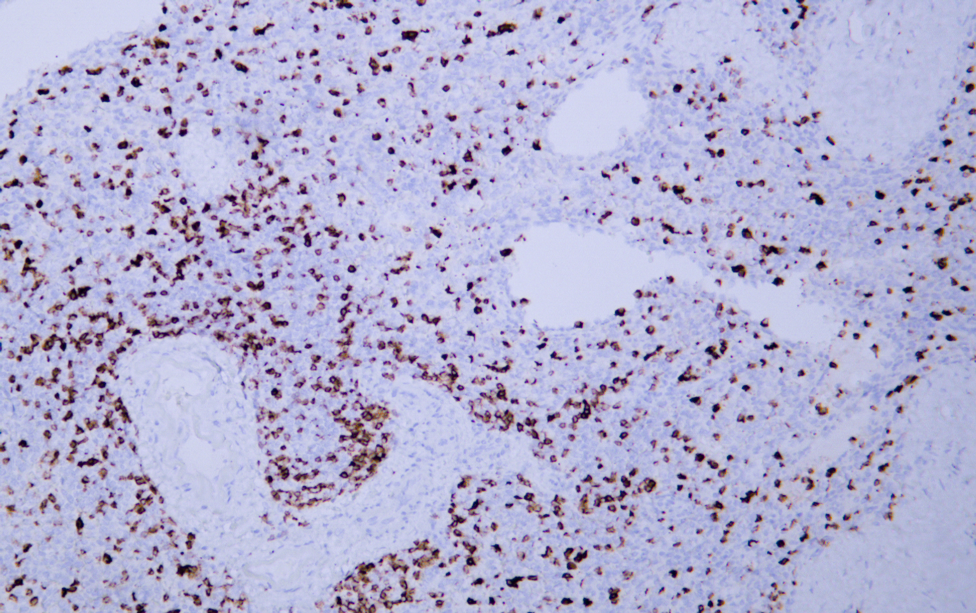
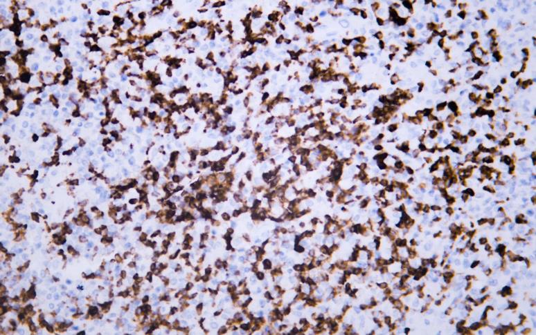
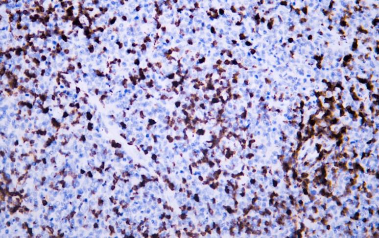
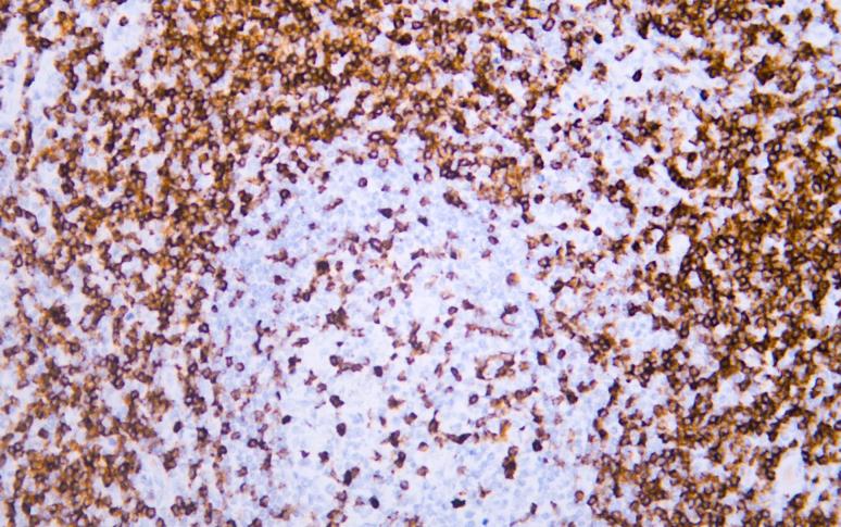
CD7 (AB1513) mouse mAb
CD7 (AB1513) mouse mAb

Assay Biotechnology Inc Antibodies and ELISA Kits have been rigorously validated for laboratory grade quality results. High specificity paired with high affinity for targets of interest give researchers an advantage with our products

Catalog No: V0036
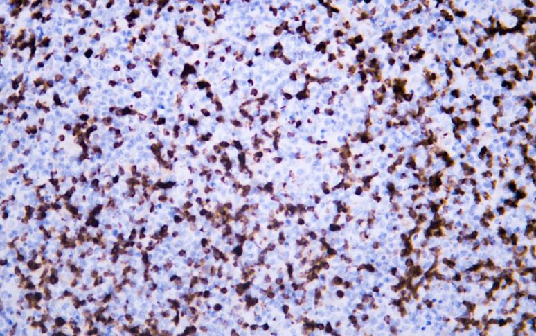
Species Reactivity:Human;
Application:Immunohistochemistry (IHC)
Host:Mouse
Clonality:Monoclonal
Storage and Stability:Store at-20℃. Avoid freeze / thaw cycles.

$75
Product Details
Product Name
CD7 (AB1513) mouse mAb
Description
CD7 is a member of immunoglobulin superfamily and one of the markers of early T cell line cells in thymus. It is expressed in thymocytes, T cells, NK cells, lymphoid and myeloid cell precursors. It is mainly used for the study of lymphohematopoietic diseases. CD7 can be used to identify primitive T-cell tumors such as lymphoblastic leukemia.
Catalog No
V0036
Species Reactivity
Human;
Clonality
Monoclonal
Host
Mouse
Modifcation
Unmodified
Clone
AB1513
Isotype
IgG2a, kappa
Application
Immunohistochemistry (IHC)
Application Dilutions
IHC, 1:200-1:400
Immunogen
A synthetic peptide corresponding to the amino acid region 1 - 100 of the human CD7 protein.
Specificity
The antibody can specifically recognize human CD7 protein.
Formulation
The antibody is provided in liquid form in phosphate - buffered saline with 50% glycerol, 0.05% BSA, and 0.05% Proclin 300.
Purification
The antibody was purified by affinity chromatography using a specific immunogen.
Storage and Stability
Store at-20℃. Avoid freeze / thaw cycles.
Gene Name
CD7
Gene ID
924
Human swiss
P09564
Protein Name
CD7
Synonyms
CD7, CD7 antigen (p41) , CD7 antigen, CD7 molecule, CD7_HUMAN, GP40, LEU 9, LEU9, p41 protein, T cell antigen CD7, T cell leukemia antigen, T cell surface antigen Leu 9, T-cell antigen CD7, T-cell leukemia antigen, T-cell surface antigen Leu-9, Tp 40, Tp40, TP41
Related Products