25% Off Select Antibodies and ELISA Kits
Sign In/Register 0

We use cookies, check our Privacy Policies.

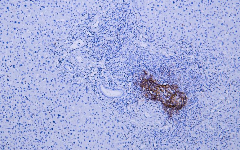
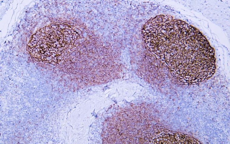
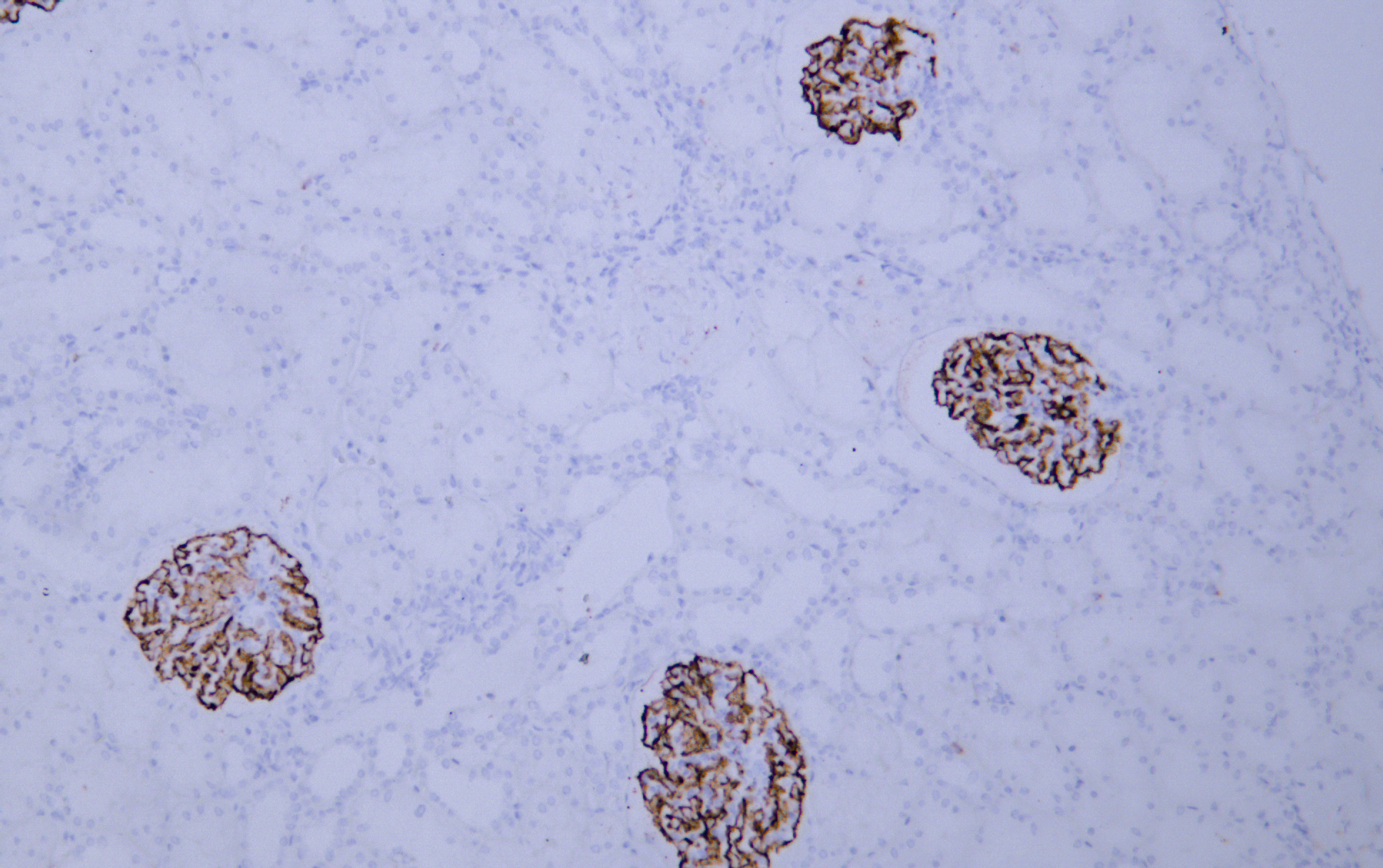
CD35 (AB1504) mouse mAb
CD35 (AB1504) mouse mAb

Assay Biotechnology Inc Antibodies and ELISA Kits have been rigorously validated for laboratory grade quality results. High specificity paired with high affinity for targets of interest give researchers an advantage with our products

Catalog No: V0024
Species Reactivity:Human;
Application:Immunohistochemistry (IHC)
Host:Mouse
Clonality:Monoclonal
Storage and Stability:Store at-20℃. Avoid freeze / thaw cycles.

$75
Product Details
Product Name
CD35 (AB1504) mouse mAb
Description
CD35, also known as complement receptor 1, is a membrane penetrating glycoprotein with a molecular weight of 210-220 kDa, which can bind to complement C3b and C4b. CD35 is expressed in follicular dendritic cells, mature B lymphocytes, monocytes, erythrocytes, glomerular podocytes and some T cells. It is mainly used for the study of follicular dendritic cells and their derived tumors.
Catalog No
V0024
Species Reactivity
Human;
Clonality
Monoclonal
Host
Mouse
Modifcation
Unmodified
Clone
AB1504
Isotype
IgG1, kappa
Application
Immunohistochemistry (IHC)
Application Dilutions
IHC, 1:50-1:100
Immunogen
A synthetic peptide corresponding to the amino acid region 300 - 400 of the human CD35 protein.
Specificity
The antibody can specifically recognize human CD35 protein.
Formulation
The antibody is provided in liquid form in phosphate - buffered saline with 50% glycerol, 0.05% BSA, and 0.05% Proclin 300.
Purification
The antibody was purified by affinity chromatography using a specific immunogen.
Storage and Stability
Store at-20℃. Avoid freeze / thaw cycles.
Gene Name
CR1
Gene ID
1378
Human swiss
P17927
Protein Name
CD35
Synonyms
C3 binding protein, C3b/C4b receptor, C3BR, C4BR, CD 35, CD35, CD35 antigen, complement component (3b/4b) receptor 1 (Knops blood group) , complement component (3b/4b) receptor 1 including Knops blood group system, Complement component receptor 1, Complement receptor 1, Complement receptor type 1, CR 1, CR1, CR1_HUMAN, KN, Knops blood group antigen
Related Products