25% Off Select Antibodies and ELISA Kits
Sign In/Register 0

We use cookies, check our Privacy Policies.

CD23 (AB1500) mouse mAb
CD23 (AB1500) mouse mAb

Assay Biotechnology Inc Antibodies and ELISA Kits have been rigorously validated for laboratory grade quality results. High specificity paired with high affinity for targets of interest give researchers an advantage with our products

Catalog No: V0021
Species Reactivity:Human;
Application:Immunohistochemistry (IHC)
Host:Mouse
Clonality:Monoclonal
Storage and Stability:Store at-20℃. Avoid freeze / thaw cycles.

$75
Product Details
Product Name
CD23 (AB1500) mouse mAb
Description
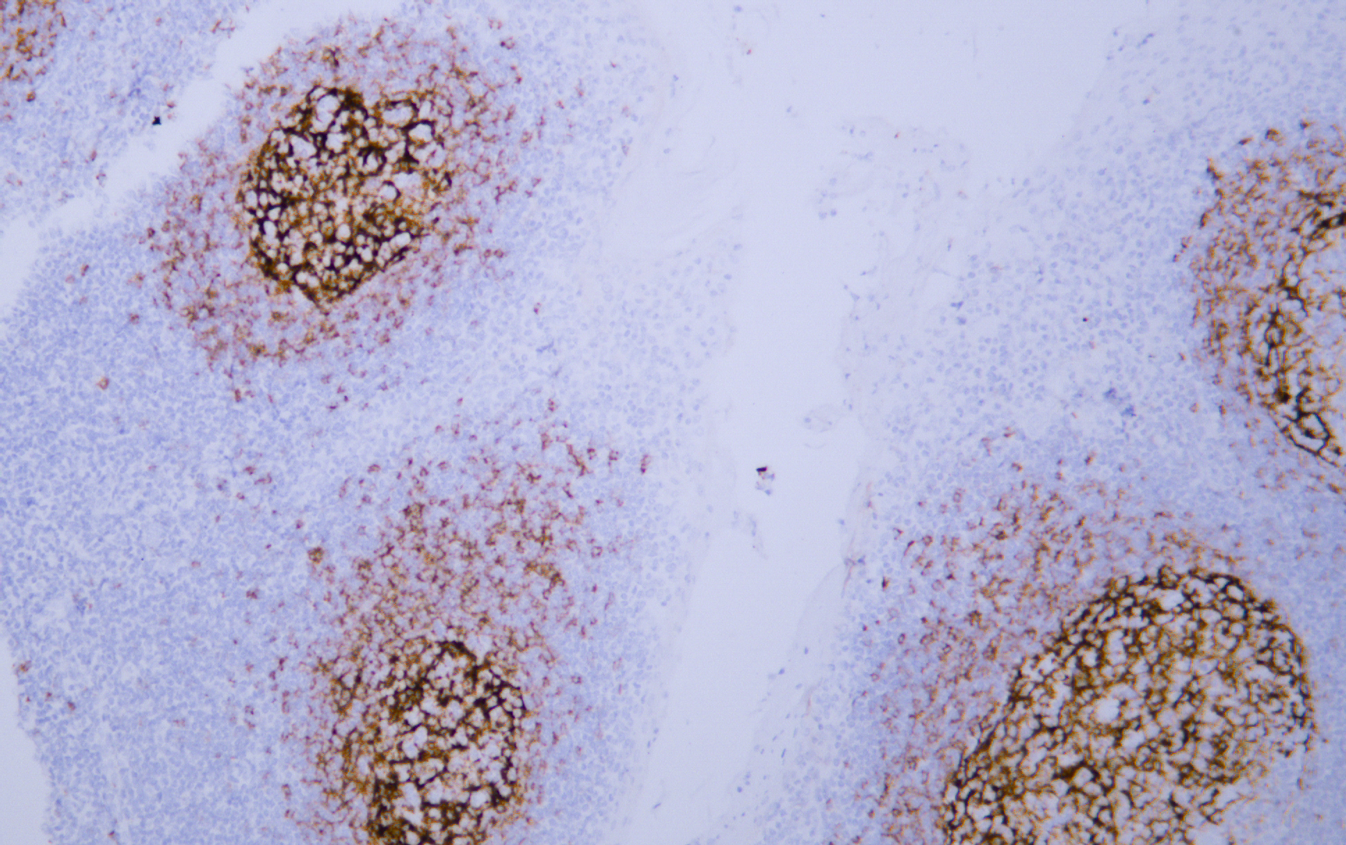
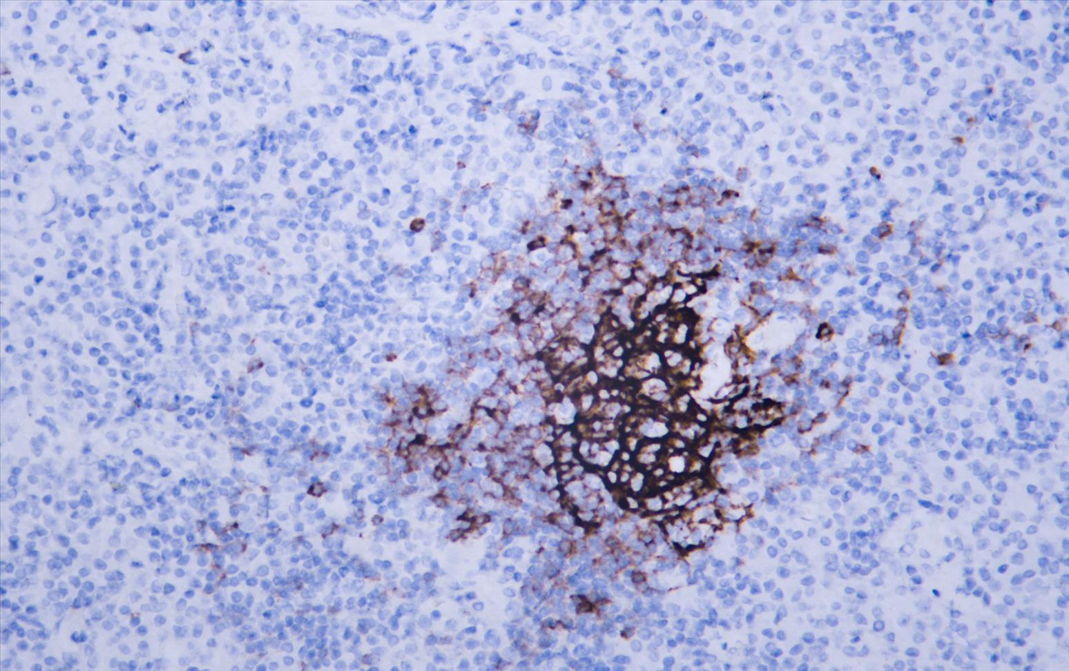
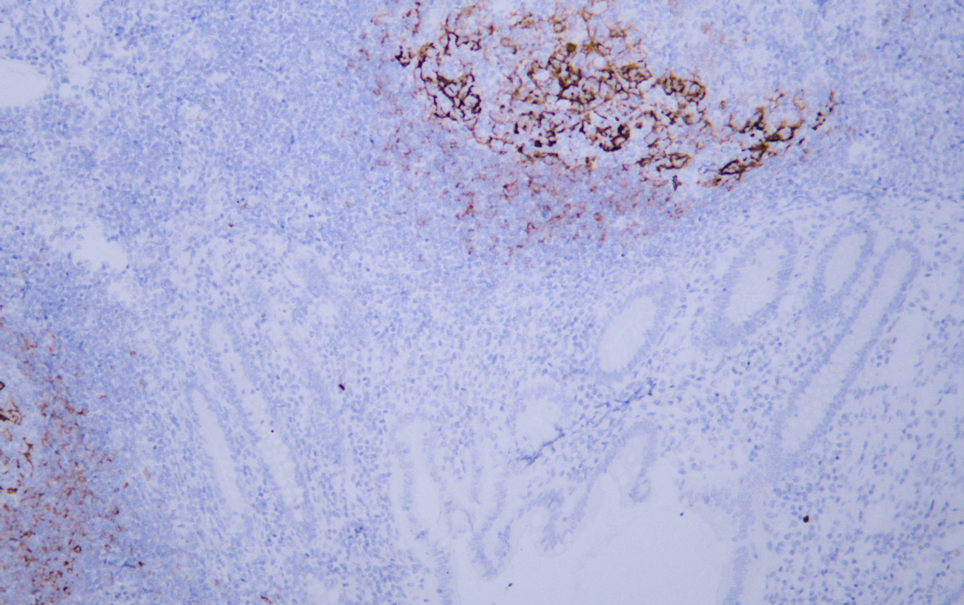
CD23 is a low affinity IgE receptor with a molecular weight of 45-60kDa. It is a B cell specific antigen. Its main function is to regulate IgE production and B cell differentiation. CD23 is mainly expressed in B cells activated in the germinal center of lymphoid follicles, mature IgD positive B lymphocytes and follicular dendritic cells (bright area) . It is also used for labeling monocytes. For the study of lymphohematopoietic diseases, it is positive in small B-lymphocyte lymphoma / chronic lymphocytic leukemia and mediastinal large B-cell lymphoma, occasionally positive in some Hodgkin's lymphoma and negative in mantle cell lymphoma.
Catalog No
V0021
Species Reactivity
Human;
Clonality
Monoclonal
Host
Mouse
Modifcation
Unmodified
Clone
AB1500
Isotype
IgG1, kappa
Application
Immunohistochemistry (IHC)
Application Dilutions
IHC, 1:200-1:400
Immunogen
A synthetic peptide corresponding to the amino acid region 200 - 321 of the human CD23 protein.
Specificity
The antibody can specifically recognize human CD23 protein.
Formulation
The antibody is provided in liquid form in phosphate - buffered saline with 50% glycerol, 0.05% BSA, and 0.05% Proclin 300.
Purification
The antibody was purified by affinity chromatography using a specific immunogen.
Storage and Stability
Store at-20℃. Avoid freeze / thaw cycles.
Gene Name
FCER2
Gene ID
2208
Human swiss
P06734
Protein Name
CD23
Synonyms
Blast 2, BLAST-2, Blast2, C type lectin domain family 4 member J, C-type lectin domain family 4, C-type lectin domain family 4 member J, C-type lectin domain family 4, member J, CD 23, CD 23A, CD23, CD23 antigen, CD23A, CLEC 4J, CLEC4J, Fc epsilon receptor II, Fc epsilon RII, Fc fragment of IgE, Fc fragment of IgE low affinity II receptor for, Fc fragment of IgE receptor II, Fc fragment of IgE, low affinity II, receptor for (CD23) , Fc of IgE, Fc of IgE, low affinity II, receptor for (CD23) , Fc receptor IgE low affinity II alpha polypeptide, Fc receptor, IgE, low affinity II, alpha polypeptide, isoform CRA_a, Fc-epsilon-RII, FCE 2, FCE2, FCER 2, Fcer2, FCER2_HUMAN, FCER2A, FceRII, IgE binding factor, IgE receptor lymphocyte, IgE-binding factor, IGEBF, Immunoglobulin E binding factor, Immunoglobulin E receptor, Immunoglobulin E receptor, low affinity II, Immunoglobulin E-binding factor, Immunoglobulin epsilon chain, LEUKOCYTE ANTIGEN CD23, Low Affinity IgE Receptor, Low affinity immunoglobulin epsilon Fc receptor, Low affinity immunoglobulin epsilon Fc receptor membrane bound form, Low affinity immunoglobulin epsilon Fc receptor soluble form, Ly-42, Ly42, Lymphocyte antigen CD23, Lymphocyte IgE receptor, MGC93219
Related Products