25% Off Select Antibodies and ELISA Kits
Sign In/Register 0

We use cookies, check our Privacy Policies.

p63 mouse mAb -Discontinued see alternative: W0419
p63 mouse mAb -Discontinued see alternative: W0419

Assay Biotechnology Inc Antibodies and ELISA Kits have been rigorously validated for laboratory grade quality results. High specificity paired with high affinity for targets of interest give researchers an advantage with our products

Catalog No: N0500
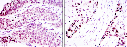
Reactivity:Human,Mouse,Rat,Monkey
Applications:WB,IHC-p,IF(paraffin section),ELISA
Modification:Unmodfied/ Total
Source:Monoclonal Mouse
Storage and Stability:-20°C/1 year

$210
Product Details
Product Name
p63 mouse mAb -Discontinued see alternative: W0419
Description
tumor protein p63(TP63) Homo sapiens This gene encodes a member of the p53 family of transcription factors. The functional domains of p53 family proteins include an N-terminal transactivation domain, a central DNA-binding domain and an oligomerization domain. Alternative splicing of this gene and the use of alternative promoters results in multiple transcript variants encoding different isoforms that vary in their functional properties. These isoforms function during skin development and maintenance, adult stem/progenitor cell regulation, heart development and premature aging. Some isoforms have been found to protect the germline by eliminating oocytes or testicular germ cells that have suffered DNA damage. Mutations in this gene are associated with ectodermal dysplasia, and cleft lip/palate syndrome 3 (EEC3); split-hand/foot malformation 4 (SHFM4); ankyloblepharon-ectodermal defects-cleft lip/palate; ADULT syndrome (acro-dermato-ungual-lacrim
Catalog No
N0500
Reactivity
Human,Mouse,Rat,Monkey
Applications
WB,IHC-p,IF(paraffin section),ELISA
Modification
Unmodfied/ Total
Source
Monoclonal Mouse
Dilution
Western Blot: 1/500 - 1/2000. Immunohistochemistry: 1/200 - 1/1000. ELISA: 1/10000. Not yet tested in other applications.
Purification
Affinity purification
Concentration
Storage and Stability
-20°C/1 year
Other Name
TP63; KET; P63; P73H; P73L; TP73L; Tumor protein 63; p63; Chronic ulcerative stomatitis protein; CUSP; Keratinocyte transcription factor KET; Transformation-related protein 63; TP63; Tumor protein p73-like; p73L; p40; p51
Molecular Weight (Da)
Gene Name
TP63
Protein Name
Tumor protein 63
Human Gene ID
8626
Human Swiss Prot No.
Q9H3D4
Immunogen
Synthesized peptide of human p63.
Specificity
p63 Monoclonal Antibody detects endogenous levels of p63 protein.
Formulation
Ascitic fluid containing 0.03% sodium azide,0.5% BSA, 50%glycerol.
Related Products
Publications (1)