25% Off Select Antibodies and ELISA Kits
Sign In/Register 0

We use cookies, check our Privacy Policies.

Lamin B1 mouse mAb (7C11) -Discontinued see alternative: W0483
Lamin B1 mouse mAb (7C11) -Discontinued see alternative: W0483

Assay Biotechnology Inc Antibodies and ELISA Kits have been rigorously validated for laboratory grade quality results. High specificity paired with high affinity for targets of interest give researchers an advantage with our products

Catalog No: N1300
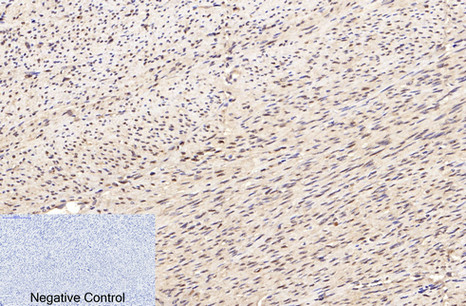
Reactivity:Human,Rat,Mouse
Applications:WB,IHC-p,IF/ICCIP
Modification:Unmodfied/ Total
Source:Monoclonal Mouse
Storage and Stability:-20°C/1 year

$184
Product Details
Product Name
Lamin B1 mouse mAb (7C11) -Discontinued see alternative: W0483
Description
lamin B1(LMNB1) Homo sapiens This gene encodes one of the two B-type lamin proteins and is a component of the nuclear lamina. A duplication of this gene is associated with autosomal dominant adult-onset leukodystrophy (ADLD). Alternative splicing results in multiple transcript variants. [provided by RefSeq, Dec 2015],
Catalog No
N1300
Reactivity
Human,Rat,Mouse
Applications
WB,IHC-p,IF/ICC,IP
Modification
Unmodfied/ Total
Source
Monoclonal Mouse
Dilution
WB: 1:2000-5000 IP:1:200 IF 1:200 IHC 1:50-300
Purification
The antibody was affinity-purified from mouse ascites by affinity-chromatography using specific immunogen.
Concentration
Storage and Stability
-20°C/1 year
Other Name
LMNB1; LMN2; LMNB; Lamin-B1
Molecular Weight (Da)
66408
Gene Name
LMNB1
Protein Name
Lamin-B1
Human Gene ID
4001
Human Swiss Prot No.
P20700
Immunogen
Recombinant Protein of Lamin-B1
Specificity
The antibody detects endogenous Lamin B1 protein.
Formulation
PBS, pH 7.4, containing 0.5%BSA, 0.02% sodium azide as Preservative and 50% Glycerol.
Related Products
Publications (5)