25% Off Select Antibodies and ELISA Kits
Sign In/Register 0

We use cookies, check our Privacy Policies.

Ki-67 (AB1230) mouse mAb
Ki-67 (AB1230) mouse mAb

Assay Biotechnology Inc Antibodies and ELISA Kits have been rigorously validated for laboratory grade quality results. High specificity paired with high affinity for targets of interest give researchers an advantage with our products

Catalog No: V0382
Species Reactivity:Human;
Application:Immunohistochemistry (IHC)
Host:Mouse
Clonality:Monoclonal
Storage and Stability:Store at-20℃. Avoid freeze / thaw cycles.

$75
Product Details
Product Name
Ki-67 (AB1230) mouse mAb
Description
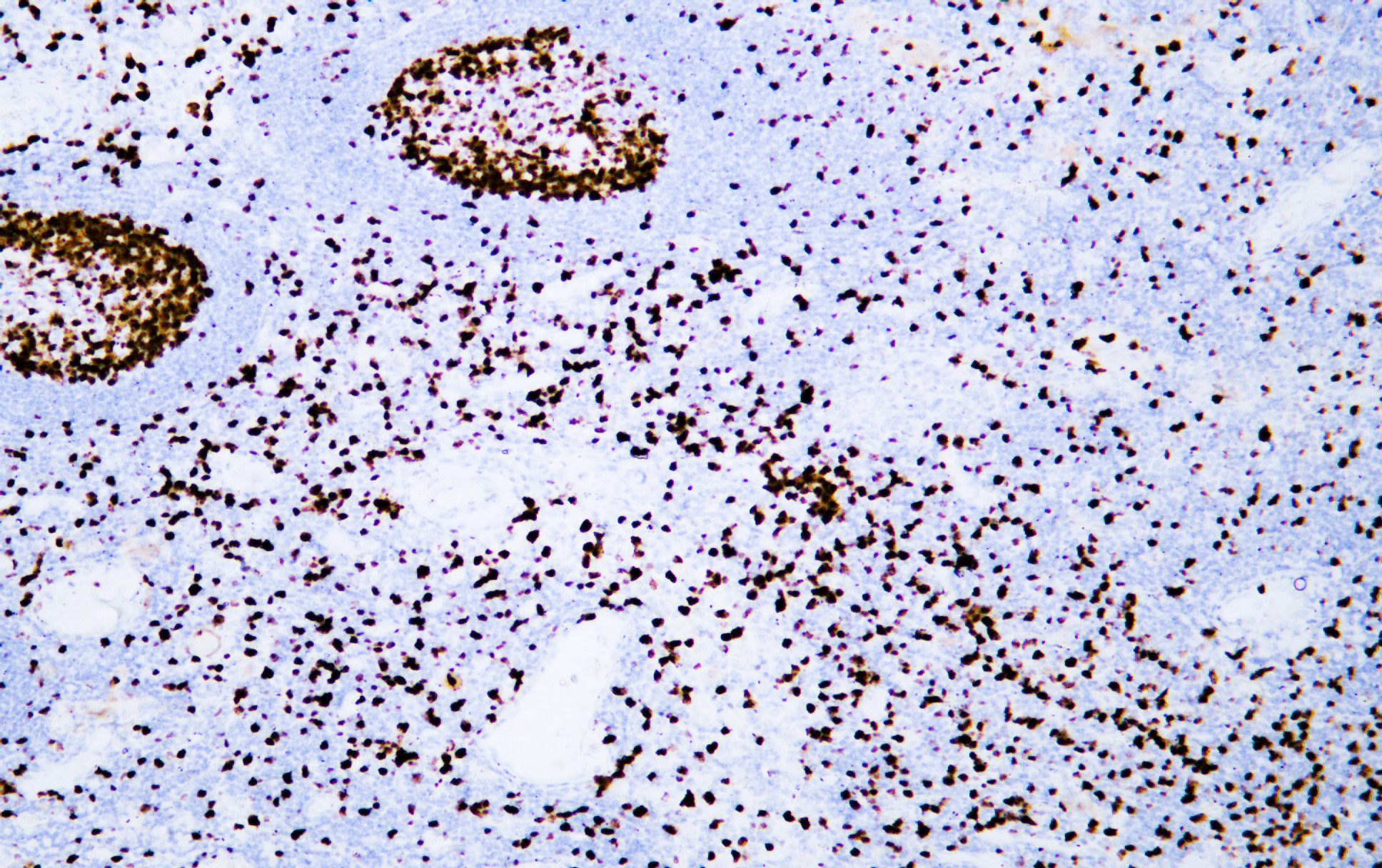
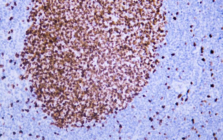
Ki-67 is a proliferating cell related nuclear protein, which is closely related to mitosis. It can recognize cells in G1, S, G2 and M phases except G0 phase. It is mainly used to judge the cell proliferation index. Ki-67 proliferation index is closely related to the degree of differentiation, invasion, metastasis and prognosis of many tumors. Therefore, it is also one of the important reference indexes for the prognosis of some malignant tumors. It is widely used as a marker of various malignant tumors and in tumor research.
Catalog No
V0382
Species Reactivity
Human;
Clonality
Monoclonal
Host
Mouse
Modifcation
Unmodified
Clone
AB1230
Isotype
IgG2b, kappa
Application
Immunohistochemistry (IHC)
Application Dilutions
IHC, 1:200-1:400
Immunogen
A synthetic peptide corresponding to the amino acid region 1200 - 1400 of the human Ki - 67 protein.
Specificity
The antibody can specifically recognize human Ki-67 protein.
Formulation
The antibody is provided in liquid form in phosphate - buffered saline with 50% glycerol, 0.05% BSA, and 0.05% Proclin 300.
Purification
The antibody was purified by affinity chromatography using a specific immunogen.
Storage and Stability
Store at-20℃. Avoid freeze / thaw cycles.
Gene Name
MKI67
Gene ID
4288
Human swiss
P46013
Protein Name
Ki-67
Synonyms
Antigen identified by monoclonal Ki 67, Antigen identified by monoclonal Ki-67, Antigen KI-67, Antigen KI67, Antigen Ki67, KI67_HUMAN, KIA, Marker of prolifeRation Ki-67, MIB 1, MIB, MKI67, PPP1R105, ProlifeRation marker protein Ki-67, ProlifeRation related Ki 67 antigen, Protein phosphatase 1 regulatory subunit 105, RP11-380J17. 2
Related Products