25% Off Select Antibodies and ELISA Kits
Sign In/Register 0

We use cookies, check our Privacy Policies.

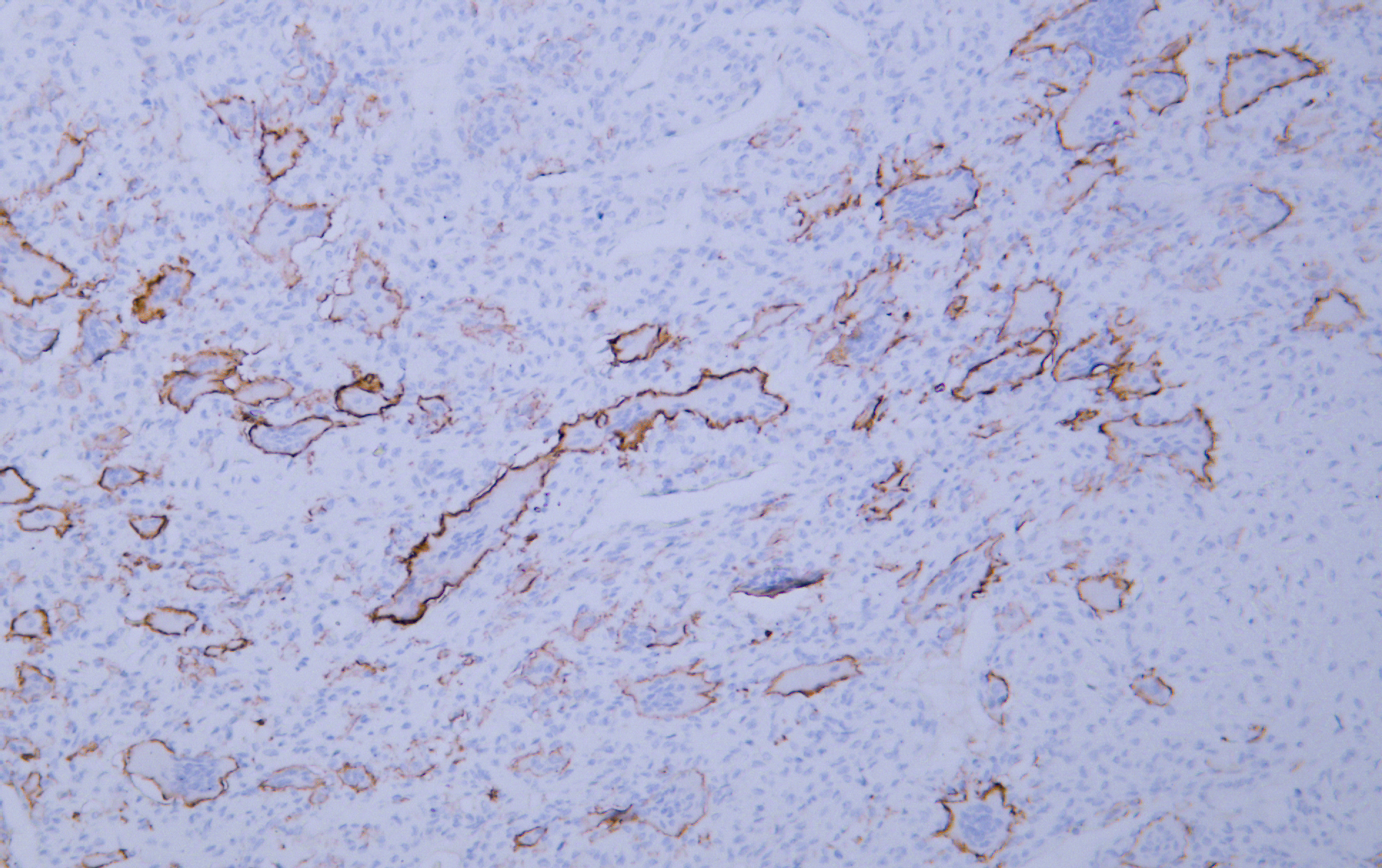
CD61 (AB1510) mouse mAb
CD61 (AB1510) mouse mAb

Assay Biotechnology Inc Antibodies and ELISA Kits have been rigorously validated for laboratory grade quality results. High specificity paired with high affinity for targets of interest give researchers an advantage with our products

Catalog No: V0033
Species Reactivity:Human;
Application:Immunohistochemistry (IHC)
Host:Mouse
Clonality:Monoclonal
Storage and Stability:Store at-20℃. Avoid freeze / thaw cycles.

$135
Product Details
Product Name
CD61 (AB1510) mouse mAb
Description
CD61 is also known as integrin β 3, a 105kDa membrane glycoprotein, is an integrin cell surface protein related to cell adhesion and cell surface mediated signal transduction. It is expressed on platelets, megakaryocytes, osteoclasts and vascular endothelial cells. CD61 and CD41 form platelet glycoprotein IIb / IIIB complex and participate in coagulation and thrombosis. It is mainly used to detect small megakaryocytes in platelet and bone marrow biopsy, and can also be used in the diagnosis of megakaryocytic leukemia.
Catalog No
V0033
Species Reactivity
Human;
Clonality
Monoclonal
Host
Mouse
Modifcation
Unmodified
Clone
AB1510
Isotype
IgG3, kappa
Application
Immunohistochemistry (IHC)
Application Dilutions
IHC, 1:50-1:100
Immunogen
A synthetic peptide corresponding to the amino acid region 1 - 100 of the human CD61 protein.
Specificity
The antibody can specifically recognize human CD61 protein.
Formulation
The antibody is provided in liquid form in phosphate - buffered saline with 50% glycerol, 0.05% BSA, and 0.05% Proclin 300.
Purification
The antibody was purified by affinity chromatography using a specific immunogen.
Storage and Stability
Store at-20℃. Avoid freeze / thaw cycles.
Gene Name
ITGB3 GP3A
Gene ID
3690
Human swiss
P05106
Protein Name
CD61
Synonyms
BDPLT16, BDPLT2, CD 61, CD61, CD61 antigen, GP3A, GPIIIa, GT, HPA 1, HPA 4, Integrin beta 3 (platelet glycoprotein IIIa antigen CD61) , Integrin beta chain beta 3, Integrin beta-3, ITB3_HUMAN, ITG B3, ITGB 3, ITGB3, NAIT, platelet fibrinogen receptor, Platelet fibrinogen receptor beta subunit, Platelet fibrinogen receptor, beta subunit, Platelet glycoprotein IIIa, Platelet glycoprotein IIIa precursor, Platelet membrane glycoprotein IIIa, PTP
Related Products