25% Off Select Antibodies and ELISA Kits
Sign In/Register 0

We use cookies, check our Privacy Policies.

GDF-9 Antibody
GDF-9 Antibody

Assay Biotechnology Inc Antibodies and ELISA Kits have been rigorously validated for laboratory grade quality results. High specificity paired with high affinity for targets of interest give researchers an advantage with our products

Catalog No: R12-2162
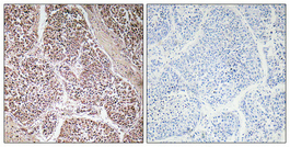
Reactivity:Human,Rat,Mouse
Applications:WB,IHC,IF,ELISA
Modification:Unmodified/Total
Source:Polyclonal,Rabbit,IgG
Storage and Stability:Store at -20°C/1 year

$205
Product Details
Product Name
GDF-9 Antibody
Description
This gene encodes a secreted ligand of the TGF-beta (transforming growth factor-beta) superfamily of proteins. Ligands of this family bind various TGF-beta receptors leading to recruitment and activation of SMAD family transcription factors that regulate gene expression. The encoded preproprotein is proteolytically processed to generate each subunit of the disulfide-linked homodimer. This protein regulates ovarian function. Reduced expression of this gene may be associated with polycystic ovary syndrome and mutations in this gene may be more common in mothers of dizygotic twins. [provided by RefSeq, Jul 2016],
Catalog No
R12-2162
Reactivity
Human, Rat, Mouse
Source
Polyclonal, Rabbit,IgG
Modification
Unmodified/Total
Applications
WB, IHC, IF, ELISA
Dilution
WB 1:500 - 1:2000. IHC 1:100 - 1:300. ELISA: 1:10000.. IF 1:50-200
Purification
The antibody was affinity-purified from rabbit antiserum by affinity-chromatography using epitope-specific immunogen.
Concentration
1 mg/ml
Storage and Stability
Store at -20°C/1 year
Other Name
GDF9; Growth/differentiation factor 9; GDF-9
Molecular Weight (Da or kDa)
Gene Name
GDF9
Protein Name
Growth/differentiation factor 9
Human Gene ID
2661
Human Swiss Prot No.
O60383
Immunogen
The antiserum was produced against synthesized peptide derived from human GDF-9. AA range:273-322
Specificity
GDF-9 Polyclonal Antibody detects endogenous levels of GDF-9 protein.
Formulation
Liquid in PBS containing 50% glycerol, 0.5% BSA and 0.02% sodium azide.
Related Products
Publications (1)