25% Off Select Antibodies and ELISA Kits
Sign In/Register 0

We use cookies, check our Privacy Policies.

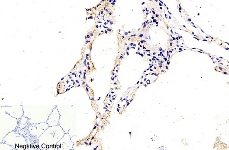
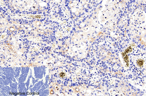
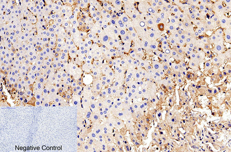
Cleaved-Caspase-9 p35 (D315) Antibody
Cleaved-Caspase-9 p35 (D315) Antibody

Assay Biotechnology Inc Antibodies and ELISA Kits have been rigorously validated for laboratory grade quality results. High specificity paired with high affinity for targets of interest give researchers an advantage with our products

Catalog No: L0111
Reactivity:Human,Rat,Mouse
Applications:WB,IHC-p,IF/ICC,ELISA
Modification:Cleaved Specific
Source:Polyclonal Rabbit
Storage and Stability:-20°C/1 year

$205
Product Details
Product Name
Cleaved-Caspase-9 p35 (D315) Antibody
Description
This gene encodes a member of the cysteine-aspartic acid protease (caspase) family. Sequential activation of caspases plays a central role in the execution-phase of cell apoptosis. Caspases exist as inactive proenzymes which undergo proteolytic processing at conserved aspartic residues to produce two subunits, large and small, that dimerize to form the active enzyme. This protein can undergo autoproteolytic processing and activation by the apoptosome, a Protein complex of cytochrome c and the apoptotic peptidase activating factor 1; this step is thought to be one of the earliest in the caspase activation cascade. This protein is thought to play a central role in apoptosis and to be a tumor suppressor. Alternative splicing results in multiple transcript variants. [provided by RefSeq, May 2013]
Catalog No
L0111
Reactivity
Human, Rat, Mouse
Applications
WB, IHC-p, IF/ICC, ELISA
Modification
Cleaved Specific
Source
Polyclonal Rabbit
Dilution
WB 1:500-2000, IHC-p 1:50-300, IF 1:50-300
Purification
The antibody was affinity-purified from rabbit antiserum by affinity-chromatography using epitope-specific immunogen.
Concentration
1 mg/ml
Storage and Stability
-20°C/1 year
Other Name
CASP9; MCH6; Caspase-9; CASP-9; Apoptotic protease Mch-6; Apoptotic protease-activating factor 3; APAF-3; ICE-like apoptotic protease 6; ICE-LAP6
Molecular Weight (Da)
46281
Gene Name
CASP9
Protein Name
Caspase9
Human Gene ID
842
Human Swiss Prot No.
P55211
Immunogen
The antiserum was produced against synthesized peptide derived from human Caspase 9. AA range:266-315
Specificity
Cleaved-Caspase-9 p35 (D315) Polyclonal Antibody detects endogenous levels of fragment of activated Caspase-9 p35 protein resulting from cleavage adjacent to D315.
Formulation
Liquid in PBS containing 50% glycerol, 0.5% BSA and 0.02% sodium azide.
Related Products
Publications (2)