25% Off Select Antibodies and ELISA Kits
Sign In/Register 0

We use cookies, check our Privacy Policies.

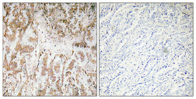
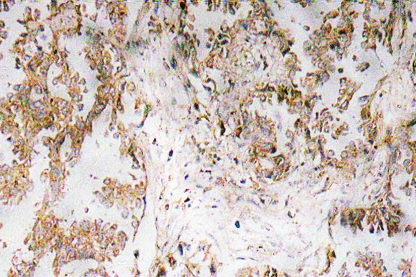
IL-1α Antibody
IL-1α Antibody

Assay Biotechnology Inc Antibodies and ELISA Kits have been rigorously validated for laboratory grade quality results. High specificity paired with high affinity for targets of interest give researchers an advantage with our products

Catalog No: R12-2203
Reactivity:Human,Mouse,Rat
Applications:IHC,IF,ELISA
Modification:Unmodified/Total
Source:Polyclonal,Rabbit,IgG
Storage and Stability:Store at -20°C/1 year

$205
Product Details
Product Name
IL-1α Antibody
Description
The protein encoded byThis gene is a member of the interleukin 1 cytokine family. This cytokine is a pleiotropic cytokine involved in various immune responses, inflammatory processes, and hematopoiesis. This cytokine is produced by monocytes and macrophages as a proprotein, which is proteolytically processed and released in response to cell injury, and thus induces apoptosis. This gene and eight other interleukin 1 family genes form a cytokine gene cluster on chromosome 2. It has been suggested that the polymorphism of these genes is associated with rheumatoid arthritis and Alzheimer's disease. [provided by RefSeq, Jul 2008],
Catalog No
R12-2203
Reactivity
Human, Mouse, Rat
Source
Polyclonal, Rabbit,IgG
Modification
Unmodified/Total
Applications
IHC, IF, ELISA
Dilution
IHC 1:100 - 1:300. ELISA: 1:10000.. IF 1:50-200
Purification
The antibody was affinity-purified from rabbit antiserum by affinity-chromatography using epitope-specific immunogen.
Concentration
1 mg/ml
Storage and Stability
Store at -20°C/1 year
Other Name
IL1A; IL1F1; Interleukin-1 alpha; IL-1 alpha; Hematopoietin-1
Molecular Weight (Da or kDa)
31kD
Gene Name
IL1A
Protein Name
Interleukin-1 alpha
Human Gene ID
3552
Human Swiss Prot No.
P01583
Immunogen
The antiserum was produced against synthesized peptide derived from human IL-1alpha. AA range:8-57
Specificity
IL-1α Polyclonal Antibody detects endogenous levels of IL-1α protein.
Formulation
Liquid in PBS containing 50% glycerol, 0.5% BSA and 0.02% sodium azide.
Related Products