25% Off Select Antibodies and ELISA Kits
Sign In/Register 0

We use cookies, check our Privacy Policies.

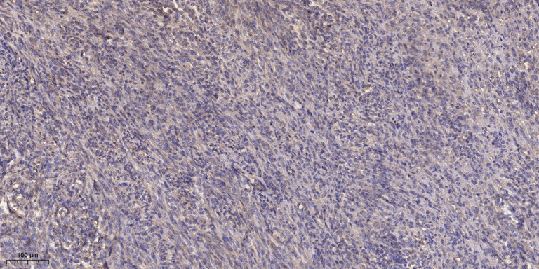
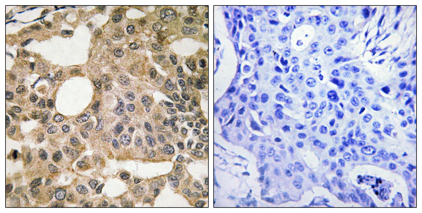
Bcl-x Antibody
Bcl-x Antibody

Assay Biotechnology Inc Antibodies and ELISA Kits have been rigorously validated for laboratory grade quality results. High specificity paired with high affinity for targets of interest give researchers an advantage with our products

Catalog No: B8243
Reactivity:Human,Mouse,Rat
Applications:IHC-p,IF(paraffin section),ELISA
Modification:Unmodified/Total
Source:Polyclonal Rabbit
Storage and Stability:-20°C/1 year

$205
Product Details
Product Name
Bcl-x Antibody
Description
Catalog No
B8243
Reactivity
Human, Mouse, Rat
Applications
IHC-p, IF(paraffin section), ELISA
Modification
Unmodified/Total
Source
Polyclonal Rabbit
Dilution
WB 1:500-2000 ,Immunohistochemistry: 1/100 - 1/300. ELISA: 1/5000. Not yet tested in other applications.
Purification
The antibody was affinity-purified from rabbit antiserum by affinity-chromatography using epitope-specific immunogen.
Concentration
1 mg/ml
Storage and Stability
-20°C/1 year
Other Name
BCL2L1; BCL2L; BCLX; Bcl-2-like protein 1; Bcl2-L-1; Apoptosis regulator Bcl-X
Molecular Weight (Da)
26049
Gene Name
BCL2L1
Protein Name
Bcl-2-like protein 1
Human Gene ID
598
Human Swiss Prot No.
Q07817
Immunogen
The antiserum was produced against synthesized peptide derived from human BCL-XL. AA range:81-130
Specificity
Bcl-x Polyclonal Antibody detects endogenous levels of Bcl-x protein.
Formulation
Liquid in PBS containing 50% glycerol, 0.5% BSA and 0.02% sodium azide.
Related Products