25% Off Select Antibodies and ELISA Kits
Sign In/Register 0

We use cookies, check our Privacy Policies.

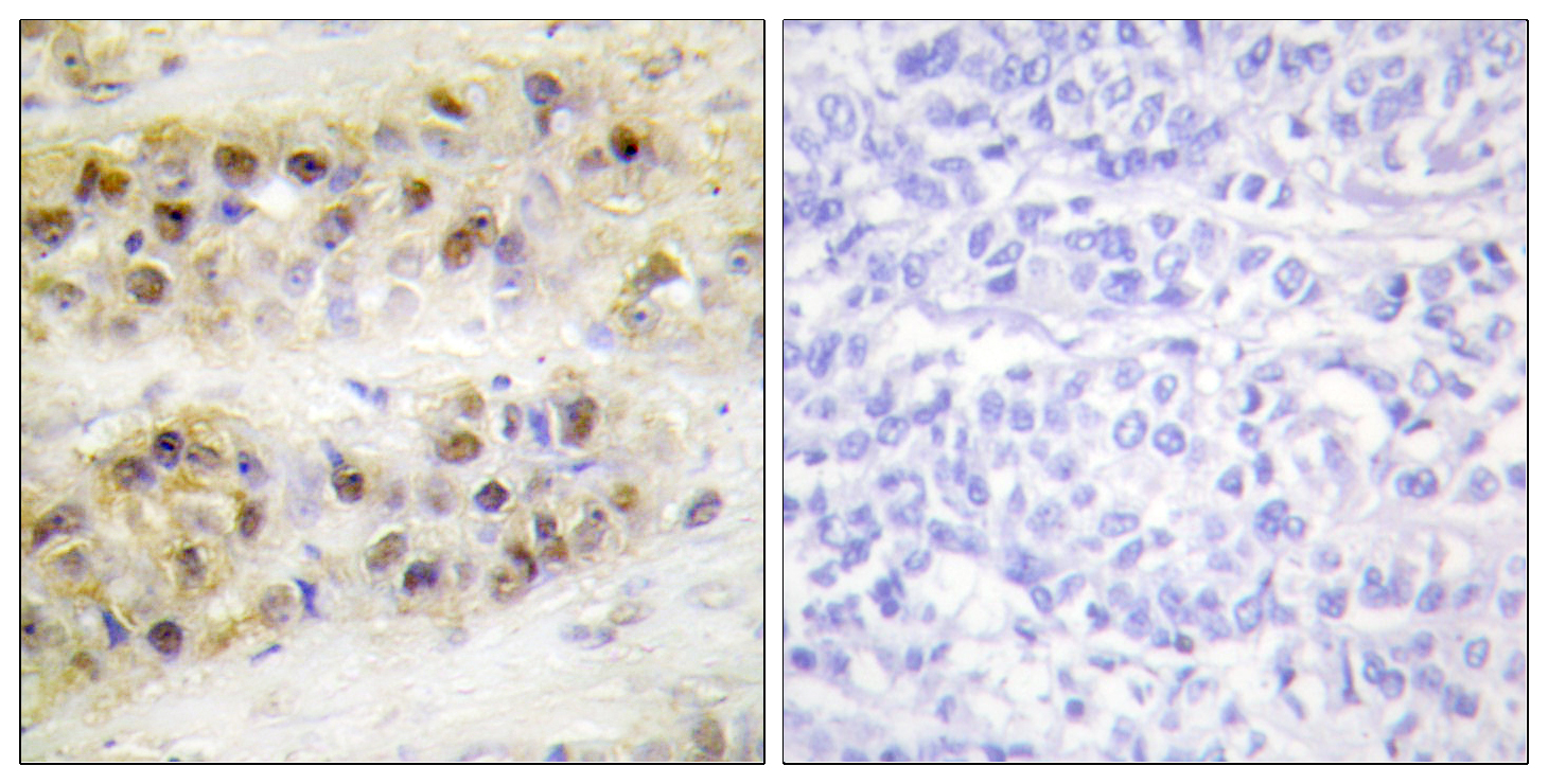
RORα Antibody
RORα Antibody

Assay Biotechnology Inc Antibodies and ELISA Kits have been rigorously validated for laboratory grade quality results. High specificity paired with high affinity for targets of interest give researchers an advantage with our products

Catalog No: C10554
Reactivity:Human,Monkey
Applications:WB,IHC,IF,ELISA
Modification:Unmodified/Total
Source:Polyclonal,Rabbit,IgG
Storage and Stability:Store at -20°C/1 year

$205
Product Details
Product Name
RORα Antibody
Description
The protein encoded byThis gene is a member of the NR1 subfamily of nuclear hormone receptors. It can bind as a monomer or as a homodimer to hormone response elements upstream of several genes to enhance the expression of those genes. The encoded protein has been shown to interact with NM23-2, a nucleoside diphosphate kinase involved in organogenesis and differentiation, as well as with NM23-1, the product of a tumor metastasis suppressor candidate gene. Also, it has been shown to aid in the transcriptional regulation of some genes involved in circadian rhythm. Four transcript variants encoding different isoforms have been described for this gene. [provided by RefSeq, Feb 2014],
Catalog No
C10554
Reactivity
Human, Monkey
Source
Polyclonal, Rabbit,IgG
Modification
Unmodified/Total
Applications
WB, IHC, IF, ELISA
Dilution
WB 1:500 - 1:2000. IHC 1:100 - 1:300. IF 1:200 - 1:1000. ELISA: 1:40000. Not yet tested in other applications.
Purification
The antibody was affinity-purified from rabbit antiserum by affinity-chromatography using epitope-specific immunogen.
Concentration
1 mg/ml
Storage and Stability
Store at -20°C/1 year
Other Name
RORA; NR1F1; RZRA; Nuclear receptor ROR-alpha; Nuclear receptor RZR-alpha; Nuclear receptor subfamily 1 group F member 1; Retinoid-related orphan receptor-alpha
Molecular Weight (Da or kDa)
Gene Name
RORA
Protein Name
Nuclear receptor ROR-alpha
Human Gene ID
6095
Human Swiss Prot No.
P35398
Immunogen
The antiserum was produced against synthesized peptide derived from human RORA. AA range:6-55
Specificity
RORα Polyclonal Antibody detects endogenous levels of RORα protein.
Formulation
Liquid in PBS containing 50% glycerol, 0.5% BSA and 0.02% sodium azide.
Related Products
Publications (1)