25% Off Select Antibodies and ELISA Kits
Sign In/Register 0

We use cookies, check our Privacy Policies.

CAF-1 p60 Antibody
CAF-1 p60 Antibody

Assay Biotechnology Inc Antibodies and ELISA Kits have been rigorously validated for laboratory grade quality results. High specificity paired with high affinity for targets of interest give researchers an advantage with our products

Catalog No: C10946
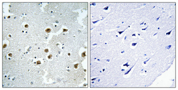
Reactivity:Human,Mouse,Rat
Applications:WB,IHC,IF,ELISA
Modification:Unmodified/Total
Source:Polyclonal,Rabbit,IgG
Storage and Stability:Store at -20°C/1 year

$205
Product Details
Product Name
CAF-1 p60 Antibody
Description
Chromatin assembly factor I (CAF-I) is required for the assembly of histone octamers onto newly-replicated DNA. CAF-I is composed of three protein subunits, p50, p60, and p150.The protein encoded by this gene corresponds to the p60 subunit and is required for chromatin assembly after replication. The encoded protein is differentially phosphorylated in a cell cycle-dependent manner. In addition, it is normally found in the nucleus except during mitosis, when it is released into the cytoplasm. This protein is a member of the WD-repeat HIR1 family and may also be involved in DNA repair. [provided by RefSeq, Jul 2008],
Catalog No
C10946
Reactivity
Human, Mouse, Rat
Source
Polyclonal, Rabbit,IgG
Modification
Unmodified/Total
Applications
WB, IHC, IF, ELISA
Dilution
WB 1:500 - 1:2000. IHC 1:100 - 1:300. IF 1:200 - 1:1000. ELISA: 1:20000. Not yet tested in other applications.
Purification
The antibody was affinity-purified from rabbit antiserum by affinity-chromatography using epitope-specific immunogen.
Concentration
1 mg/ml
Storage and Stability
Store at -20°C/1 year
Other Name
CHAF1B; CAF1A; CAF1P60; MPHOSPH7; MPP7; Chromatin assembly factor 1 subunit B; CAF-1 subunit B; Chromatin assembly factor I p60 subunit; CAF-I 60 kDa subunit; CAF-I p60; M-phase phosphoprotein 7
Molecular Weight (Da or kDa)
Gene Name
CHAF1B
Protein Name
Chromatin assembly factor 1 subunit B
Human Gene ID
8208
Human Swiss Prot No.
Q13112
Immunogen
The antiserum was produced against synthesized peptide derived from human CAF1B. AA range:71-120
Specificity
CAF-1 p60 Polyclonal Antibody detects endogenous levels of CAF-1 p60 protein.
Formulation
Liquid in PBS containing 50% glycerol, 0.5% BSA and 0.02% sodium azide.
Related Products