25% Off Select Antibodies and ELISA Kits
Sign In/Register 0

We use cookies, check our Privacy Policies.

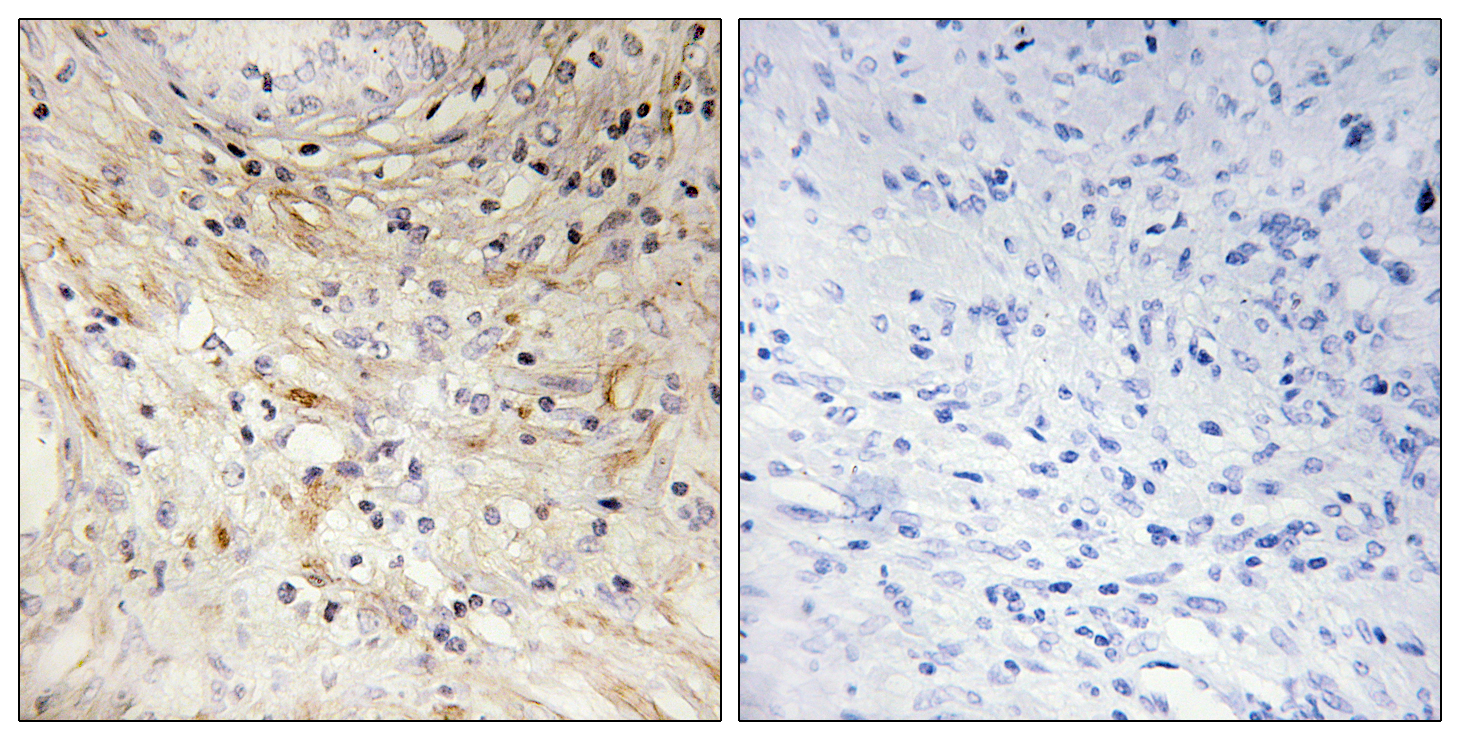
Laminin β-3 Antibody
Laminin β-3 Antibody

Assay Biotechnology Inc Antibodies and ELISA Kits have been rigorously validated for laboratory grade quality results. High specificity paired with high affinity for targets of interest give researchers an advantage with our products

Catalog No: C13071
Reactivity:Human,Rat,Mouse
Applications:IHC,IF,ELISA
Modification:Unmodified/Total
Source:Polyclonal,Rabbit,IgG
Storage and Stability:Store at -20°C/1 year

$205
Product Details
Product Name
Laminin β-3 Antibody
Description
The product encoded by this gene is a laminin that belongs to a family of basement membrane proteins. This protein is a beta subunit laminin, which together with an alpha and a gamma subunit, forms laminin-5. Mutations in this gene cause epidermolysis bullosa junctional Herlitz type, and generalized atrophic benign epidermolysis bullosa, diseases that are characterized by blistering of the skin. Multiple alternatively spliced transcript variants that encode the same protein have been found for this gene. [provided by RefSeq, Jul 2008],
Catalog No
C13071
Reactivity
Human, Rat, Mouse
Source
Polyclonal, Rabbit,IgG
Modification
Unmodified/Total
Applications
IHC, IF, ELISA
Dilution
IHC 1:100 - 1:300. IF 1:200 - 1:1000. ELISA: 1:5000. Not yet tested in other applications.
Purification
The antibody was affinity-purified from rabbit antiserum by affinity-chromatography using epitope-specific immunogen.
Concentration
1 mg/ml
Storage and Stability
Store at -20°C/1 year
Other Name
LAMB3; LAMNB1; Laminin subunit beta-3; Epiligrin subunit bata; Kalinin B1 chain; Kalinin subunit beta; Laminin B1k chain; Laminin-5 subunit beta; Nicein subunit beta
Molecular Weight (Da or kDa)
130kD
Gene Name
LAMB3
Protein Name
Laminin subunit beta-3
Human Gene ID
3914
Human Swiss Prot No.
Q13751
Immunogen
The antiserum was produced against synthesized peptide derived from human LAMB3. AA range:671-720
Specificity
Laminin β-3 Polyclonal Antibody detects endogenous levels of Laminin β-3 protein.
Formulation
Liquid in PBS containing 50% glycerol, 0.5% BSA and 0.02% sodium azide.
Related Products
Publications (1)