25% Off Select Antibodies and ELISA Kits
Sign In/Register 0

We use cookies, check our Privacy Policies.

C1QBP Antibody
C1QBP Antibody

Assay Biotechnology Inc Antibodies and ELISA Kits have been rigorously validated for laboratory grade quality results. High specificity paired with high affinity for targets of interest give researchers an advantage with our products

Catalog No: C15217
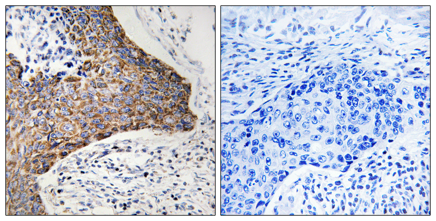
Reactivity:Human,Mouse,Rat
Applications:WB,IHC,IF,ELISA
Modification:Unmodified/Total
Source:Polyclonal,Rabbit,IgG
Storage and Stability:Store at -20°C/1 year

$205
Product Details
Product Name
C1QBP Antibody
Description
The human complement subcomponent C1q associates with C1r and C1s in order to yield the first component of the serum complement system.The protein encoded by this gene is known to bind to the globular heads of C1q molecules and inhibit C1 activation. This protein has also been identified as the p32 subunit of pre-mRNA splicing factor SF2, as well as a hyaluronic acid-binding protein. [provided by RefSeq, Jul 2008],
Catalog No
C15217
Reactivity
Human, Mouse, Rat
Source
Polyclonal, Rabbit,IgG
Modification
Unmodified/Total
Applications
WB, IHC, IF, ELISA
Dilution
WB 1:500 - 1:2000. IHC 1:100 - 1:300. ELISA: 1:40000.. IF 1:50-200
Purification
The antibody was affinity-purified from rabbit antiserum by affinity-chromatography using epitope-specific immunogen.
Concentration
1 mg/ml
Storage and Stability
Store at -20°C/1 year
Other Name
C1QBP; GC1QBP; HABP1; SF2P32; Complement component 1 Q subcomponent-binding protein; mitochondrial; GC1q-R protein; Glycoprotein gC1qBP; C1qBP; Hyaluronan-binding protein 1; Mitochondrial matrix protein p32; p33
Molecular Weight (Da or kDa)
Gene Name
C1QBP
Protein Name
Complement component 1 Q subcomponent-binding protein mitochondrial
Human Gene ID
708
Human Swiss Prot No.
Q07021
Immunogen
The antiserum was produced against synthesized peptide derived from human C1QBP. AA range:61-110
Specificity
C1QBP Polyclonal Antibody detects endogenous levels of C1QBP protein.
Formulation
Liquid in PBS containing 50% glycerol, 0.5% BSA and 0.02% sodium azide.
Related Products