25% Off Select Antibodies and ELISA Kits
Sign In/Register 0

We use cookies, check our Privacy Policies.

C6 Antibody

Assay Biotechnology Inc Antibodies and ELISA Kits have been rigorously validated for laboratory grade quality results. High specificity paired with high affinity for targets of interest give researchers an advantage with our products

Catalog No: C15219
Reactivity:Human,Rat
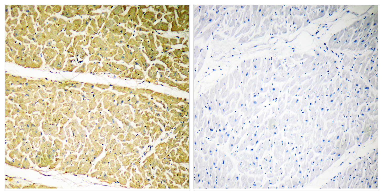
Applications:WB,IHC,IF,ELISA
Modification:Unmodified/Total
Source:Polyclonal,Rabbit,IgG
Storage and Stability:Store at -20°C/1 year

$205
Product Details
Product Name
C6 Antibody
Description
This gene encodes a component of the complement cascade. The encoded protein is part of the membrane attack complex that can be incorporated into the cell membrane and cause cell lysis. Mutations in this gene are associated with complement component-6 deficiency. Transcript variants encoding the same protein have been described.[provided by RefSeq, Nov 2012],
Catalog No
C15219
Reactivity
Human, Rat
Source
Polyclonal, Rabbit,IgG
Modification
Unmodified/Total
Applications
WB, IHC, IF, ELISA
Dilution
WB 1:500 - 1:2000. IHC 1:100 - 1:300. ELISA: 1:40000.. IF 1:50-200
Purification
The antibody was affinity-purified from rabbit antiserum by affinity-chromatography using epitope-specific immunogen.
Concentration
1 mg/ml
Storage and Stability
Store at -20°C/1 year
Other Name
C6; Complement component C6
Molecular Weight (Da or kDa)
105kD
Gene Name
C6
Protein Name
Complement component C6
Human Gene ID
729
Human Swiss Prot No.
P13671
Immunogen
The antiserum was produced against synthesized peptide derived from human C6. AA range:221-270
Specificity
C6 Polyclonal Antibody detects endogenous levels of C6 protein.
Formulation
Liquid in PBS containing 50% glycerol, 0.5% BSA and 0.02% sodium azide.
Related Products