25% Off Select Antibodies and ELISA Kits
Sign In/Register 0

We use cookies, check our Privacy Policies.

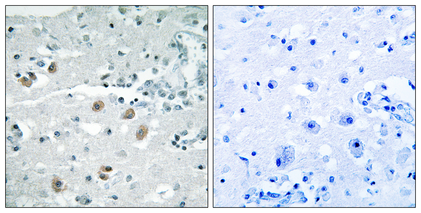
cPLA2-δ Antibody
cPLA2-δ Antibody

Assay Biotechnology Inc Antibodies and ELISA Kits have been rigorously validated for laboratory grade quality results. High specificity paired with high affinity for targets of interest give researchers an advantage with our products

Catalog No: C15306
Reactivity:Human,Rat,Mouse
Applications:IHC,IF,ELISA
Modification:Unmodified/Total
Source:Polyclonal,Rabbit,IgG
Storage and Stability:Store at -20°C/1 year

$205
Product Details
Product Name
cPLA2-δ Antibody
Description
The phospholipase A2 enzyme family, including PLA2G4D, catalyze the hydrolysis of glycerophospholipids at the sn-2 position and then liberate free fatty acids and lysophospholipids (Chiba et al., 2004 [PubMed 14709560]).[supplied by OMIM, Jun 2009],
Catalog No
C15306
Reactivity
Human, Rat, Mouse
Source
Polyclonal, Rabbit,IgG
Modification
Unmodified/Total
Applications
IHC, IF, ELISA
Dilution
IHC 1:100 - 1:300. ELISA: 1:40000.. IF 1:50-200
Purification
The antibody was affinity-purified from rabbit antiserum by affinity-chromatography using epitope-specific immunogen.
Concentration
1 mg/ml
Storage and Stability
Store at -20°C/1 year
Other Name
PLA2G4D; Cytosolic phospholipase A2 delta; cPLA2-delta; Phospholipase A2 group IVD
Molecular Weight (Da or kDa)
92kD
Gene Name
PLA2G4D
Protein Name
Cytosolic phospholipase A2 delta
Human Gene ID
283748
Human Swiss Prot No.
Q86XP0
Immunogen
The antiserum was produced against synthesized peptide derived from human PLA2G4D. AA range:531-580
Specificity
cPLA2-δ Polyclonal Antibody detects endogenous levels of cPLA2-δ protein.
Formulation
Liquid in PBS containing 50% glycerol, 0.5% BSA and 0.02% sodium azide.
Related Products