25% Off Select Antibodies and ELISA Kits
Sign In/Register 0

We use cookies, check our Privacy Policies.

cPLA2-ε Antibody
cPLA2-ε Antibody

Assay Biotechnology Inc Antibodies and ELISA Kits have been rigorously validated for laboratory grade quality results. High specificity paired with high affinity for targets of interest give researchers an advantage with our products

Catalog No: C15307
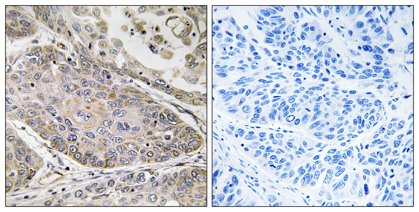
Reactivity:Human,Rat,Mouse
Applications:IHC,IF,ELISA
Modification:Unmodified/Total
Source:Polyclonal,Rabbit,IgG
Storage and Stability:Store at -20°C/1 year

$205
Product Details
Product Name
cPLA2-ε Antibody
Description
catalytic activity:Phosphatidylcholine + H(2)O = 1-acylglycerophosphocholine + a carboxylate.,domain:The N-terminal C2 domain associates with lipid membranes and mediates its regulation by presenting the active site to its substrate in response to elevations of cytosolic Ca(2+).,enzyme regulation:Stimulated by cytosolic Ca(2+).,function:Calcium-dependent phospholipase A2 that selectively hydrolyzes glycerophospholipids in the sn-2 position.,similarity:Contains 1 C2 domain.,similarity:Contains 1 PLA2c domain.,subcellular location:Translocates to lysosomal membranes in a calcium-dependent fashion.,
Catalog No
C15307
Reactivity
Human, Rat, Mouse
Source
Polyclonal, Rabbit,IgG
Modification
Unmodified/Total
Applications
IHC, IF, ELISA
Dilution
IHC 1:100 - 1:300. ELISA: 1:40000.. IF 1:50-200
Purification
The antibody was affinity-purified from rabbit antiserum by affinity-chromatography using epitope-specific immunogen.
Concentration
1 mg/ml
Storage and Stability
Store at -20°C/1 year
Other Name
PLA2G4E; Cytosolic phospholipase A2 epsilon; cPLA2-epsilon; Phospholipase A2 group IVE
Molecular Weight (Da or kDa)
96kD
Gene Name
PLA2G4E
Protein Name
Cytosolic phospholipase A2 epsilon
Human Gene ID
123745
Human Swiss Prot No.
Q3MJ16
Immunogen
The antiserum was produced against synthesized peptide derived from human PLA2G4E. AA range:401-450
Specificity
cPLA2-ε Polyclonal Antibody detects endogenous levels of cPLA2-ε protein.
Formulation
Liquid in PBS containing 50% glycerol, 0.5% BSA and 0.02% sodium azide.
Related Products