25% Off Select Antibodies and ELISA Kits
Sign In/Register 0

We use cookies, check our Privacy Policies.

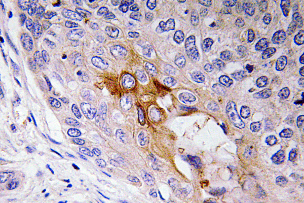
NF-L Antibody

Assay Biotechnology Inc Antibodies and ELISA Kits have been rigorously validated for laboratory grade quality results. High specificity paired with high affinity for targets of interest give researchers an advantage with our products

Catalog No: R12-2262
Reactivity:Human,Mouse,Rat
Applications:IHC-p,IF(paraffin section),WB,ELISA
Modification:Unmodified/Total
Source:Polyclonal,Rabbit
Storage and Stability:Store at -20°C/1 year

$205
Product Details
Product Name
NF-L Antibody
Description
nuclear factor of activated T-cells 5(NFAT5) Homo sapiens The product ofThis gene is a member of the nuclear factors of activated T cells family of transcription factors. Proteins belonging to this family play a central role in inducible gene transcription during the immune response. This protein regulates gene expression induced by osmotic stress in mammalian cells. Unlike monomeric members of this protein family, this protein exists as a homodimer and forms stable dimers with DNA elements. Multiple transcript variants encoding different isoforms have been found for this gene. [provided by RefSeq, Jul 2008],
Catalog No
R12-2262
Reactivity
Human,Mouse,Rat
Source
Polyclonal, Rabbit
Modification
Unmodified/Total
Applications
IHC-p,IF(paraffin section),WB,ELISA
Dilution
WB 1:500-2000 Immunohistochemistry: 1/100 - 1/300. ELISA: 1/40000. Not yet tested in other applications.
Purification
The antibody was affinity-purified from rabbit antiserum by affinity-chromatography using epitope-specific immunogen.
Concentration
Storage and Stability
Store at -20°C/1 year
Other Name
NEFL; NF68; NFL; Neurofilament light polypeptide; NF-L; 68 kDa neurofilament protein; Neurofilament triplet L protein
Molecular Weight (Da or kDa)
61517
Gene Name
NEFL
Protein Name
Neurofilament light polypeptide
Human Gene ID
Human Swiss Prot No.
P07196
Immunogen
The antiserum was produced against synthesized peptide derived from human NF-L. AA range:295-344
Specificity
NF-L Polyclonal Antibody detects endogenous levels of NF-L protein.
Formulation
Liquid in PBS containing 50% glycerol, 0.5% BSA and 0.02% sodium azide.
Related Products