25% Off Select Antibodies and ELISA Kits
Sign In/Register 0

We use cookies, check our Privacy Policies.

IRF-4/MUM1 (AB1262) mouse mAb
IRF-4/MUM1 (AB1262) mouse mAb

Assay Biotechnology Inc Antibodies and ELISA Kits have been rigorously validated for laboratory grade quality results. High specificity paired with high affinity for targets of interest give researchers an advantage with our products

Catalog No: W0475
Species Reactivity:Human;
Application:IHC; WB; IF; ELISA
Host:Mouse
Clonality:Monoclonal
Storage and Stability:Store at-20℃. Avoid freeze / thaw cycles.

$135
Product Details
Product Name
IRF-4/MUM1 (AB1262) mouse mAb
Description
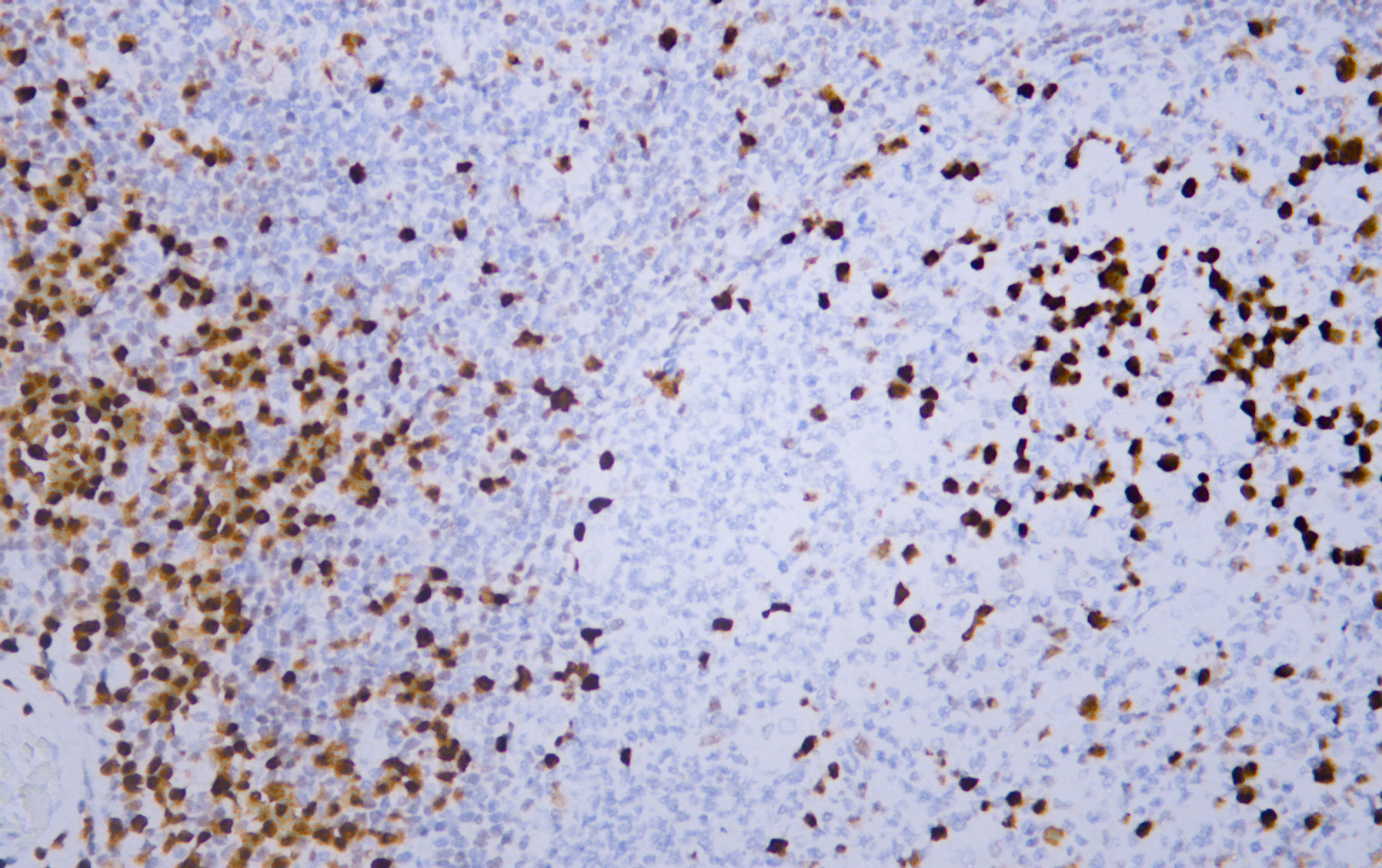
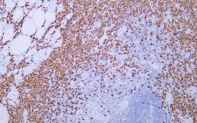
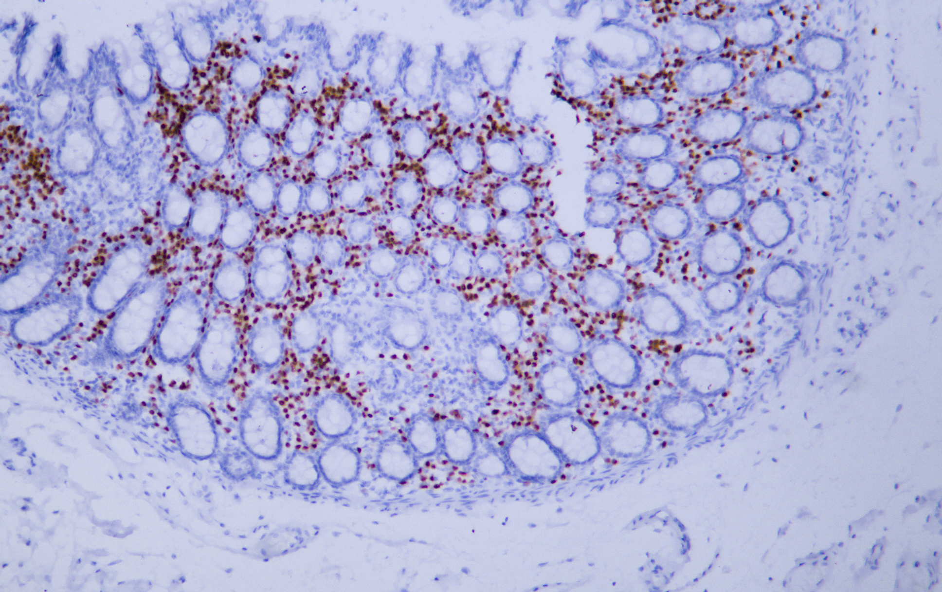
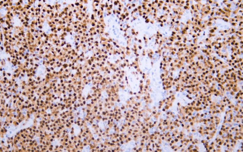
MUM1, also known as interferon regulatory factor 4, with a molecular weight of 50 kDa, is a nuclear transcription factor necessary for the development and activation of B lymphocytes. It can regulate the proliferation and differentiation of B cells and activate T lymphocytes. It is mainly used for the study of B-cell lymphoma. It is expressed in multiple myeloma, lymphoplasmacytic lymphoma and diffuse large B-cell lymphoma. It can be used as a tissue derived immunophenotypic marker of B-cell lymphoma. At the same time, it is also expressed in RS cells in anaplastic large cell lymphoma, peripheral T-cell lymphoma and classical Hodgkin's lymphoma. It is an immunophenotypic marker of malignant lymphoma, only limited to lymphocytes and melanocytes.
Catalog No
W0475
Species Reactivity
Human;
Clonality
Monoclonal
Host
Mouse
Modifcation
Unmodified
Clone
AB1262
Isotype
IgG1, kappa
Application
IHC; WB; IF; ELISA
Application Dilutions
IHC, 1:200-1:1000 | WB, 1:500-1:2000 | IF, 1:100-1:500 | ELISA, Recommended starting concentration is 1 µg/mL. Please optimize the concentration based on your specific assay requirements.
Immunogen
A synthetic peptide corresponding to the amino acid region 350 - 451 of the human IRF - 4/MUM1 protein.
Specificity
The antibody can specifically recognize human MUM1 protein.
Formulation
The antibody is provided in liquid form in phosphate - buffered saline with 50% glycerol, 0.05% BSA, and 0.05% Proclin 300.
Purification
The antibody was purified by protein G affinity chromatography.
Storage and Stability
Store at-20℃. Avoid freeze / thaw cycles.
Gene Name
IRF4
Gene ID
3662
Human swiss
Q15306
Protein Name
IRF-4/MUM1
Synonyms
Interferon regulatory factor 4, IRF 4, IRF-4, Irf4, IRF4_HUMAN, LSIRF, Lymphocyte specific interferon regulatory factor, Lymphocyte specific IRF, Lymphocyte-specific interferon regulatory factor, Multiple myeloma oncogene 1, MUM 1, MUM1, NF EM5, NF-EM5, NFEM5, PU. 1 interaction partner, Sfpi1/PU. 1 interaction partner, Transcriptional activator PIP
Related Products