25% Off Select Antibodies and ELISA Kits
Sign In/Register 0

We use cookies, check our Privacy Policies.

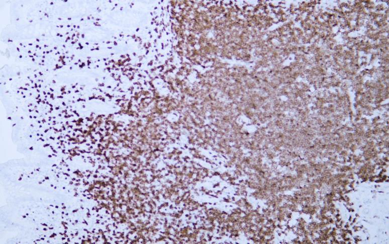
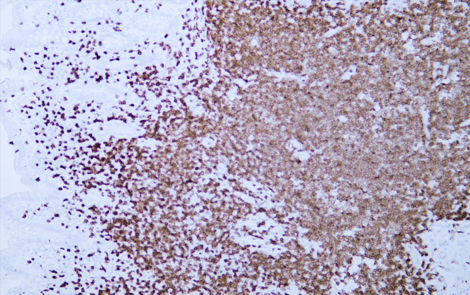
CD3 (AB1407) mouse mAb
CD3 (AB1407) mouse mAb

Assay Biotechnology Inc Antibodies and ELISA Kits have been rigorously validated for laboratory grade quality results. High specificity paired with high affinity for targets of interest give researchers an advantage with our products

Catalog No: W0464
Species Reactivity:Human;
Application:IHC; WB; IF; ELISA
Host:Mouse
Clonality:Monoclonal
Storage and Stability:Store at-20℃. Avoid freeze / thaw cycles.

$135
Product Details
Product Name
CD3 (AB1407) mouse mAb
Description
CD3 protein contains ε、γ、δ and ζ four subunits, including extracellular, transmembrane and intracellular domains. CD3 is a T cell marker, which is not expressed by B cells. CD3 complex mediates TCR antigen recognition, leading to T cell proliferation and cytokine release. It is mainly used for the diagnosis of T-cell lymphoma, with high specificity but low sensitivity. In order to improve the accuracy of diagnosis, it is usually combined with CD45RO in clinical application.
Catalog No
W0464
Species Reactivity
Human;
Clonality
Monoclonal
Host
Mouse
Modifcation
Unmodified
Clone
AB1407
Isotype
IgG2a, kappa
Application
IHC; WB; IF; ELISA
Application Dilutions
IHC, 1:200-1:1000 | WB, 1:500-1:2000 | IF, 1:100-1:500 | ELISA, Recommended starting concentration is 1 µg/mL. Please optimize the concentration based on your specific assay requirements.
Immunogen
A synthetic peptide corresponding to the amino acid region 1 - 100 of the human CD3 protein.
Specificity
The antibody can specifically recognize human CD3e protein, and shows no reaction with CD3d or CD3g. In western blotting of Jurkat cell lysate, the antibody can label a 23 kDa band corresponding to CD3e.
Formulation
The antibody is provided in liquid form in phosphate - buffered saline with 50% glycerol, 0.05% BSA, and 0.05% Proclin 300.
Purification
The antibody was purified by protein G affinity chromatography.
Storage and Stability
Store at-20℃. Avoid freeze / thaw cycles.
Gene Name
CD3E
Gene ID
916
Human swiss
P07766
Protein Name
CD3
Synonyms
4930549J05Rik, A430104F18Rik, AW552088, Cd247, CD247 antigen, CD247 antigen, zeta subunit, CD247 molecule, CD3, CD3 antigen, delta subunit, CD3 delta, CD3 epsilon, CD3 eta, CD3 gamma, CD3 molecule delta polypeptide, CD3 molecule, epsilon polypeptide, CD3 molecule, gamma polypeptide, CD3 zeta, CD3-DELTA, CD3d, CD3D antigen delta polypeptide, CD3d antigen, delta polypeptide (TiT3 complex) , CD3d molecule delta, CD3d molecule delta CD3 TCR complex, CD3d molecule, delta (CD3-TCR complex) , CD3D_HUMAN, CD3E, CD3e antigen, CD3E antigen epsilon polypeptide, CD3e antigen, epsilon polypeptide (TiT3 complex) , CD3e molecule epsilon, CD3e molecule epsilon CD3 TCR complex, CD3e molecule, epsilon (CD3-TCR complex) , CD3epsilon, CD3G, CD3g antigen, CD3G antigen gamma polypeptide, CD3g antigen, gamma polypeptide (TiT3 complex) , CD3g molecule gamma, CD3g molecule gamma CD3 TCR complex, CD3g molecule, gamma (CD3-TCR complex) , CD3H, CD3Q, CD3Z, CD3zeta, Ctg3, FLJ17620, FLJ17664, FLJ18683, FLJ79544, FLJ94613, IMD19, Leu-4, MGC138597, OKT3, delta chain, OTTHUMP00000032544, T cell receptor, T cell receptor T3 delta chain, T cell receptor T3 gamma chain, T cell receptor T3 zeta chain, T cell receptor zeta chain, T cell surface antigen T3/Leu 4 epsilon chain, T cell surface glycoprotein CD3, T cell surface glycoprotein CD3 delta chain, T cell surface glycoprotein CD3 epsilon chain, T cell surface glycoprotein CD3 gamma chain, T cell surface glycoprotein CD3 zeta chain, T-cell antigen receptor complex, delta subunit of T3, T-cell antigen receptor complex, epsilon subunit of T3, T-cell antigen receptor complex, gamma subunit of T3, T-cell antigen receptor complex, zeta subunit of CD3, T-cell receptor T3 delta chain, T-cell receptor T3 gamma chain, T-cell surface antigen T3/Leu-4 epsilon chain, T-cell surface glycoprotein CD3 delta chain, T-cell surface glycoprotein CD3 epsilon chain, T-cell surface glycoprotein CD3 gamma chain, T3, T3d, T3e, T3g, T3z, TCRE, TCRk, Tcrz, TCRzeta
Related Products