25% Off Select Antibodies and ELISA Kits
Sign In/Register 0

We use cookies, check our Privacy Policies.

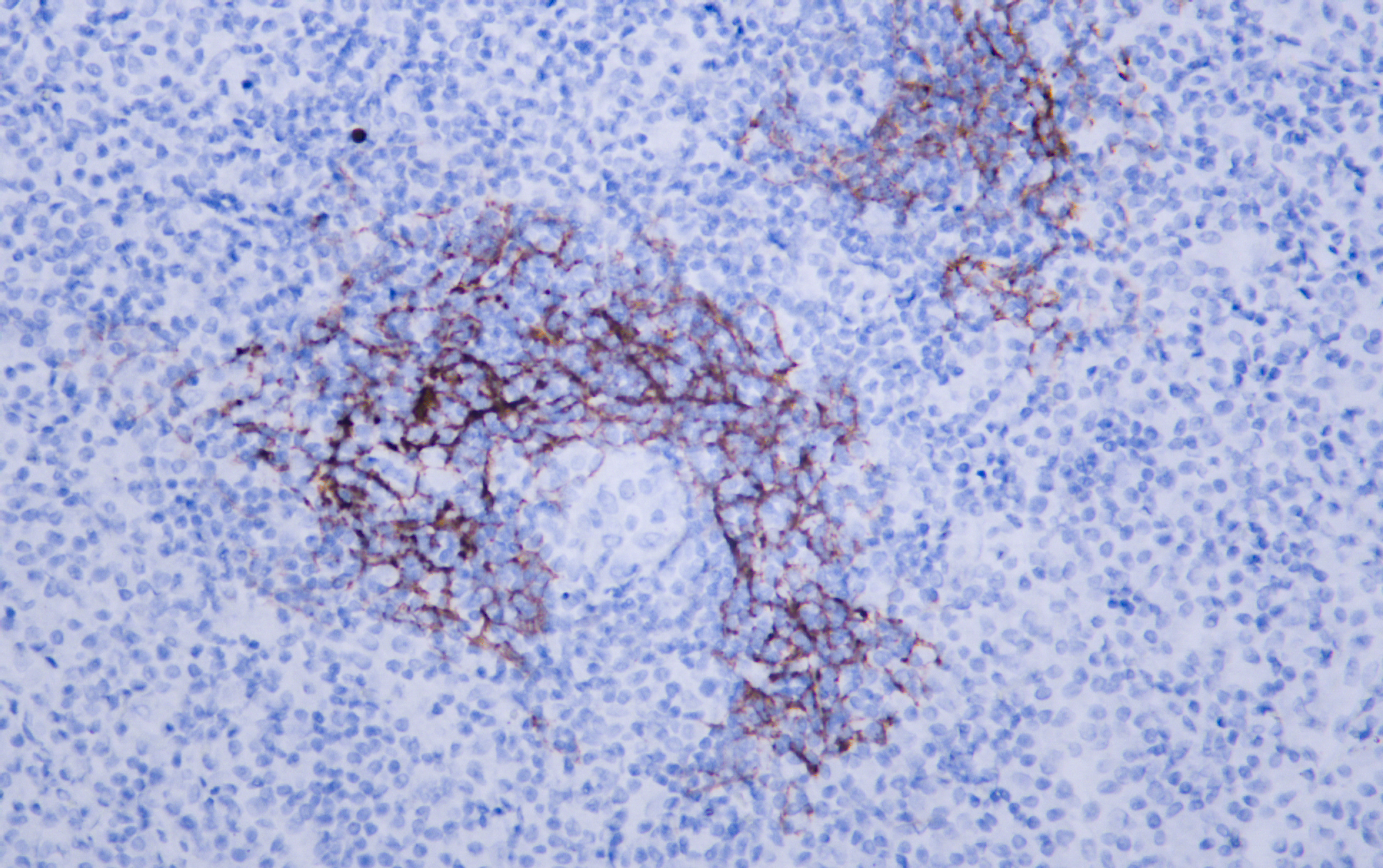
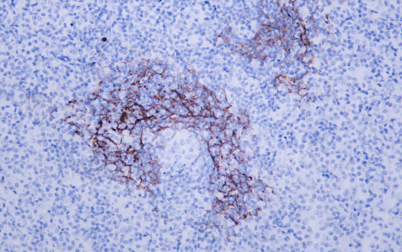
CD21 (AB1499) mouse mAb
CD21 (AB1499) mouse mAb

Assay Biotechnology Inc Antibodies and ELISA Kits have been rigorously validated for laboratory grade quality results. High specificity paired with high affinity for targets of interest give researchers an advantage with our products

Catalog No: W0463
Species Reactivity:Human;
Application:IHC; WB; IF; ELISA
Host:Mouse
Clonality:Monoclonal
Storage and Stability:Store at-20℃. Avoid freeze / thaw cycles.

$135
Product Details
Product Name
CD21 (AB1499) mouse mAb
Description
CD21, also known as type 2 complement receptor, is an important marker of B lymphocytes and EB virus receptor. It is a member of the complement activation regulator family. CD21 is mainly distributed in mature B cells, dendritic cells in lymphoid follicles and some T cells. It can promote the proliferation of B cells, participate in immune memory and mediate the transformation of EBV into B cells. It is mainly used for the diagnosis of follicular dendritic cell tumor and the study of immune complement activation regulation.
Catalog No
W0463
Species Reactivity
Human;
Clonality
Monoclonal
Host
Mouse
Modifcation
Unmodified
Clone
AB1499
Isotype
IgG1, kappa
Application
IHC; WB; IF; ELISA
Application Dilutions
IHC, 1:200-1:1000 | WB, 1:500-1:2000 | IF, 1:100-1:500 | ELISA, Recommended starting concentration is 1 µg/mL. Please optimize the concentration based on your specific assay requirements.
Immunogen
A synthetic peptide corresponding to the amino acid region 400 - 500 of the human CD21 protein.
Specificity
The antibody can specifically recognize human CD21 protein.
Formulation
The antibody is provided in liquid form in phosphate - buffered saline with 50% glycerol, 0.05% BSA, and 0.05% Proclin 300.
Purification
The antibody was purified by protein G affinity chromatography.
Storage and Stability
Store at-20℃. Avoid freeze / thaw cycles.
Gene Name
CR2
Gene ID
1380
Human swiss
P20023
Protein Name
CD21
Synonyms
C3DR, CD 21, CD21, Complement C3d receptor 2, Complement C3d receptor, Complement component (3d/Epstein Barr virus) receptor 2, Complement receptor type 2, CR, Cr2, CR2_HUMAN, CVID7, EBV receptor, EBV-R, Epstein Barr virus receptor, Epstein-Barr virus receptor, EVBR, SLEB9
Related Products