25% Off Select Antibodies and ELISA Kits
Sign In/Register 0

We use cookies, check our Privacy Policies.

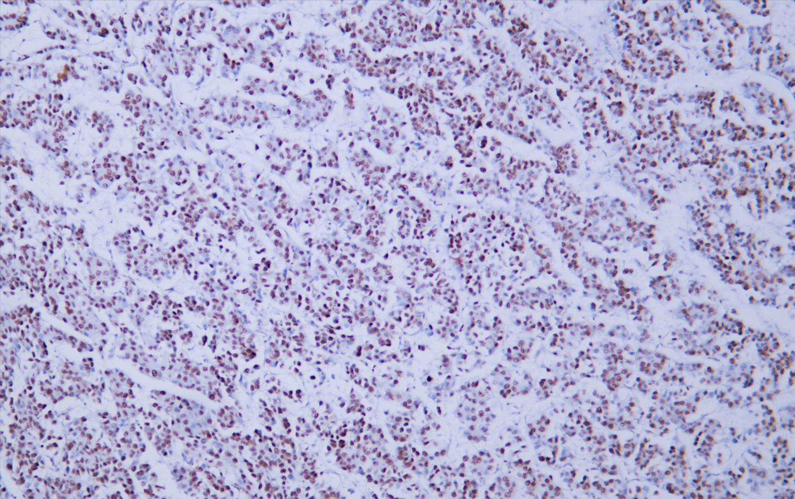
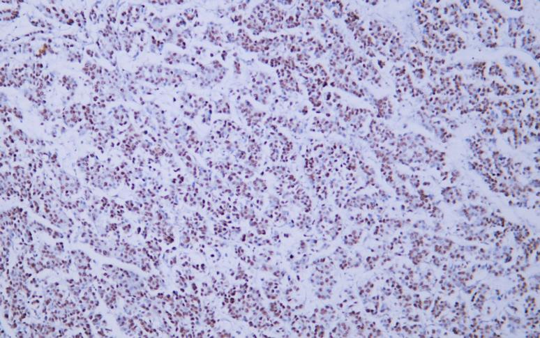
Nucleophosmin (AB1444) mouse mAb
Nucleophosmin (AB1444) mouse mAb

Assay Biotechnology Inc Antibodies and ELISA Kits have been rigorously validated for laboratory grade quality results. High specificity paired with high affinity for targets of interest give researchers an advantage with our products

Catalog No: W0379
Species Reactivity:Human; Mouse; Rat;
Application:IHC; WB; IF; ELISA
Host:Mouse
Clonality:Monoclonal
Storage and Stability:Store at-20℃. Avoid freeze / thaw cycles.

$135
Product Details
Product Name
Nucleophosmin (AB1444) mouse mAb
Description
Nucleophosmin is the most abundant nuclear phosphoprotein in cells, which usually accumulates in the cytoplasm. Generally speaking, the content of tumor growing cells is higher than that of normal quiescent cells. It can be used as a nuclear marker, as well as for the observation of the efficacy of anticancer drugs and the study of cell apoptosis.
Catalog No
W0379
Species Reactivity
Human; Mouse; Rat;
Clonality
Monoclonal
Host
Mouse
Modifcation
Unmodified
Clone
AB1444
Isotype
IgG2a, kappa
Application
IHC; WB; IF; ELISA
Application Dilutions
IHC, 1:200-1:1000 | WB, 1:500-1:2000 | IF, 1:100-1:500 | ELISA, Recommended starting concentration is 1 µg/mL. Please optimize the concentration based on your specific assay requirements.
Immunogen
A synthetic peptide corresponding to the amino acid region 100 - 200 of the human Nucleophosmin protein.
Specificity
The antibody can specifically recognize human Nucleophosmin protein.
Formulation
The antibody is provided in liquid form in phosphate - buffered saline with 50% glycerol, 0.05% BSA, and 0.05% Proclin 300.
Purification
The antibody was purified by protein G affinity chromatography.
Storage and Stability
Store at-20℃. Avoid freeze / thaw cycles.
Gene Name
NPM1 NPM
Gene ID
4869
Human swiss
P06748
Protein Name
Nucleophosmin
Synonyms
Nucleophosmin (NPM, Nucleolar phosphoprotein B23, Nucleolar protein NO38, Numatrin)
Related Products