25% Off Select Antibodies and ELISA Kits
Sign In/Register 0

We use cookies, check our Privacy Policies.

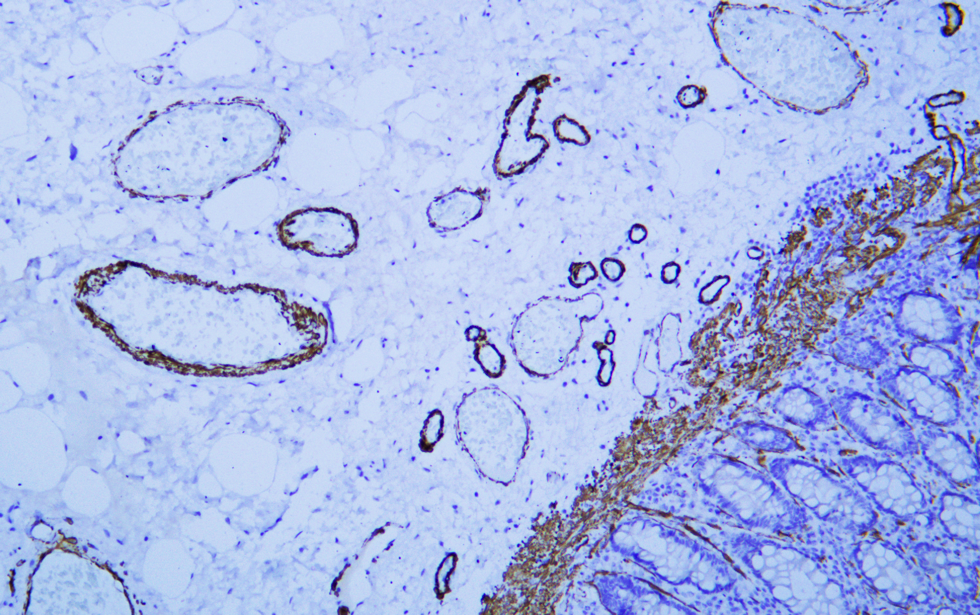
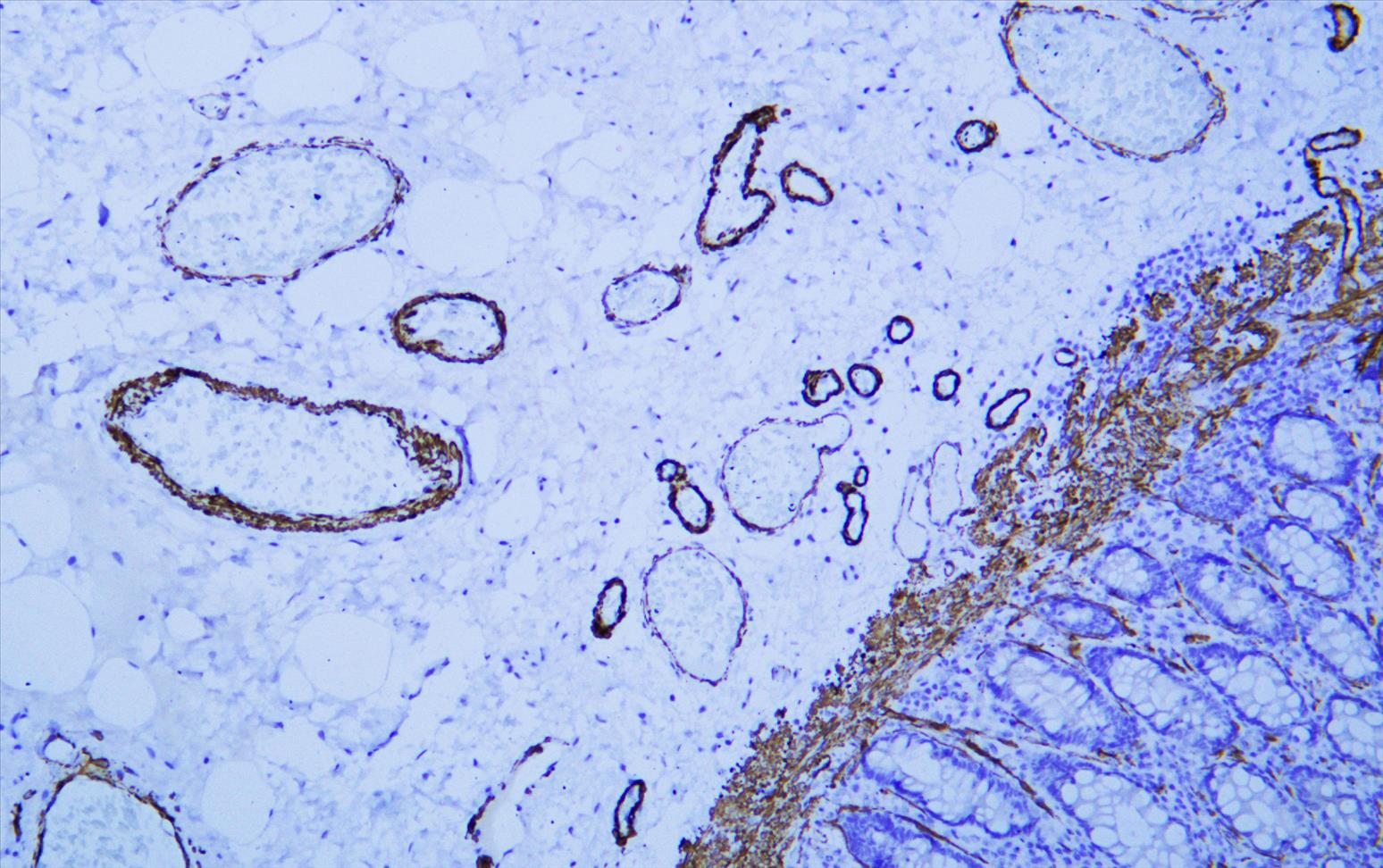
Myosin Heavy Chain, Smooth Muscle (AB1594) mouse mAb
Myosin Heavy Chain, Smooth Muscle (AB1594) mouse mAb

Assay Biotechnology Inc Antibodies and ELISA Kits have been rigorously validated for laboratory grade quality results. High specificity paired with high affinity for targets of interest give researchers an advantage with our products

Catalog No: W0372
Species Reactivity:Human; Mouse; Rat;
Application:IHC; WB; IF; ELISA
Host:Mouse
Clonality:Monoclonal
Storage and Stability:Store at-20℃. Avoid freeze / thaw cycles.

$135
Product Details
Product Name
Myosin Heavy Chain, Smooth Muscle (AB1594) mouse mAb
Description
The protein encoded by this gene is a smooth muscle myosin belonging to the myosin heavy chain family. The gene product is a subunit of a hexameric protein that consists of two heavy chain subunits and two pairs of non-identical light chain subunits. It functions as a major contractile protein, converting chemical energy into mechanical energy through the hydrolysis of ATP. The gene encoding a human ortholog of rat NUDE1 is transcribed from the reverse strand of this gene, and its 3' end overlaps with that of the latter. The pericentric inversion of chromosome 16 [inv (16) (p13q22) ] produces a chimeric transcript that encodes a protein consisting of the first 165 residues from the N terminus of core-binding factor beta in a fusion with the C-terminal portion of the smooth muscle myosin heavy chain. This chromosomal rearrangement is associated with acute myeloid leukemia of the M4Eo subtype. Alter
Catalog No
W0372
Species Reactivity
Human; Mouse; Rat;
Clonality
Monoclonal
Host
Mouse
Modifcation
Unmodified
Clone
AB1594
Isotype
IgG1, kappa
Application
IHC; WB; IF; ELISA
Application Dilutions
IHC, 1:200-1:1000 | WB, 1:500-1:2000 | IF, 1:100-1:500 | ELISA, Recommended starting concentration is 1 µg/mL. Please optimize the concentration based on your specific assay requirements.
Immunogen
A synthetic peptide corresponding to the amino acid region 300 - 400 of the human Myosin Heavy Chain, Smooth Muscle protein.
Specificity
This antibody detects endogenous levels of Myosin-11 protein.
Formulation
The antibody is provided in liquid form in phosphate - buffered saline with 50% glycerol, 0.05% BSA, and 0.05% Proclin 300.
Purification
The antibody was purified by protein G affinity chromatography.
Storage and Stability
Store at-20℃. Avoid freeze / thaw cycles.
Gene Name
MYH11 KIAA0866
Gene ID
4629
Human swiss
P35749
Protein Name
Myosin Heavy Chain; Smooth Muscle
Synonyms
Myosin-11 (Myosin heavy chain 11, Myosin heavy chain, smooth muscle isoform, SMMHC)
Related Products