25% Off Select Antibodies and ELISA Kits
Sign In/Register 0

We use cookies, check our Privacy Policies.

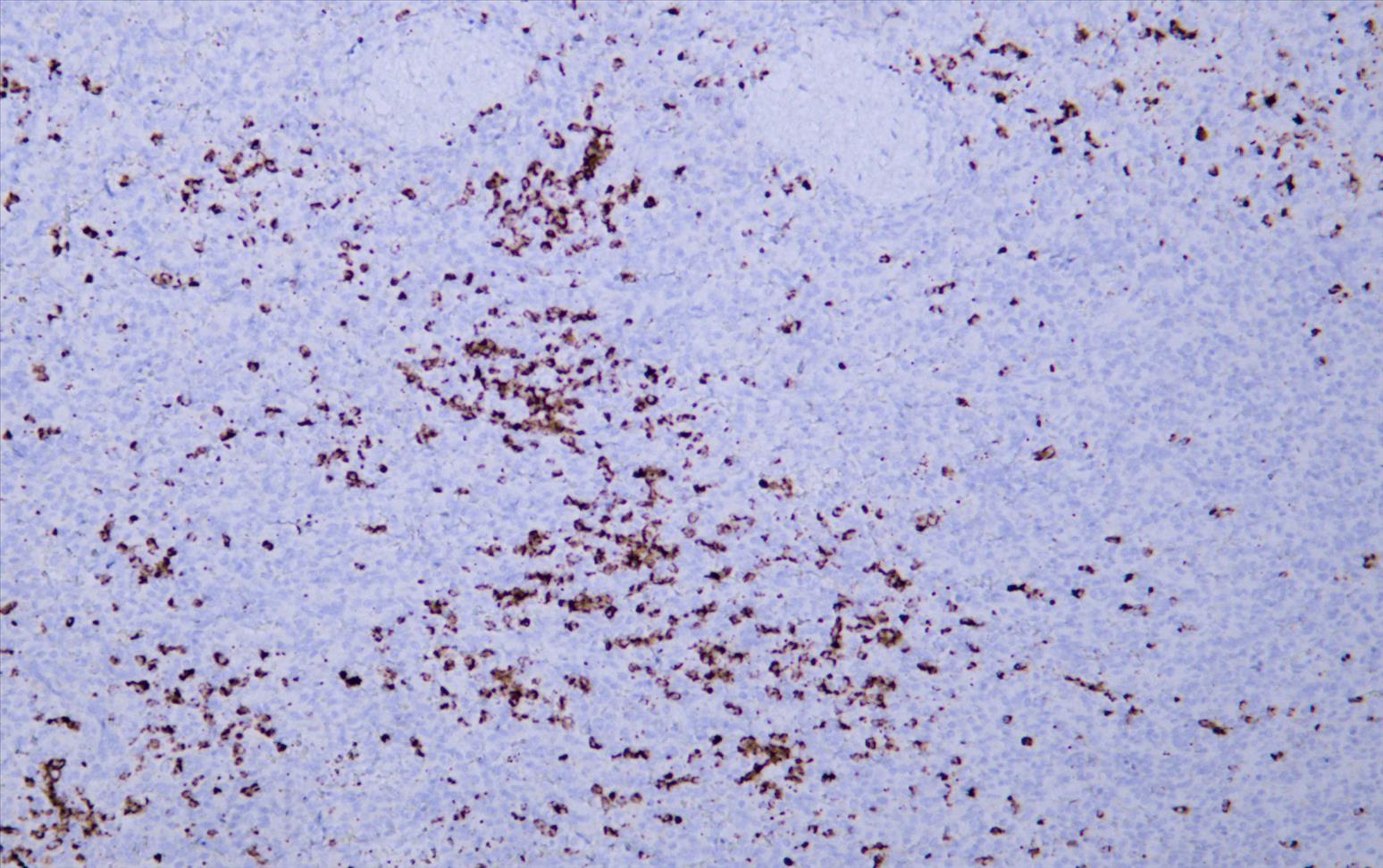
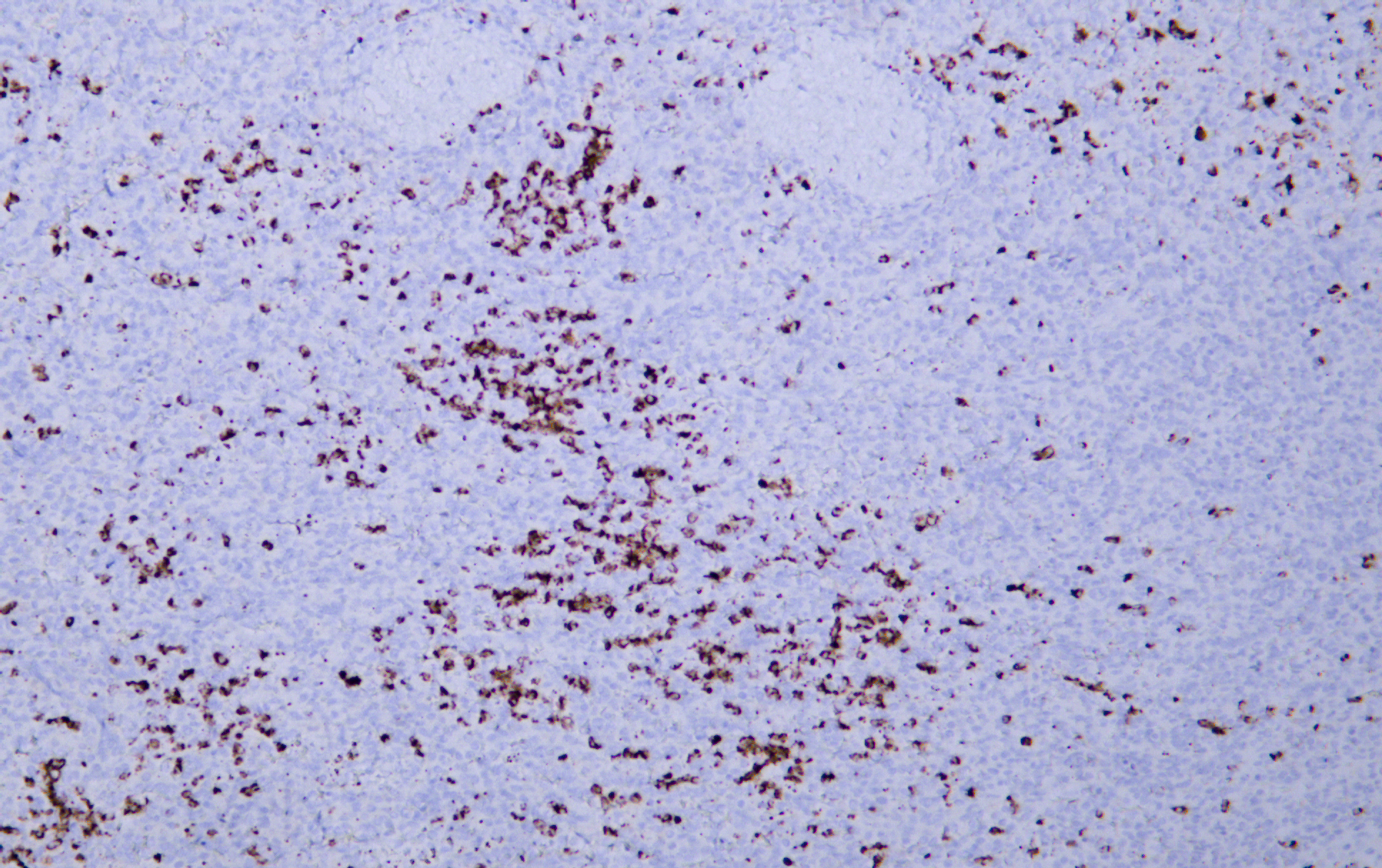
Myeloperoxidase (MPO) (AB1559) mouse mAb
Myeloperoxidase (MPO) (AB1559) mouse mAb

Assay Biotechnology Inc Antibodies and ELISA Kits have been rigorously validated for laboratory grade quality results. High specificity paired with high affinity for targets of interest give researchers an advantage with our products

Catalog No: W0369
Species Reactivity:Human;
Application:IHC; WB; IF; ELISA
Host:Mouse
Clonality:Monoclonal
Storage and Stability:Store at-20℃. Avoid freeze / thaw cycles.

$135
Product Details
Product Name
Myeloperoxidase (MPO) (AB1559) mouse mAb
Description
Myeloperoxidase (MPO) is an important enzyme in the process of phagocytosis and lysis of exosomes by granulocytes. It is a specific marker of bone marrow cells. MPO is strongly expressed in normal lymphoid tissues and various myeloid cell hyperplasia, but not in erythroid precursors, lymphoid cells, prokaryotic cells, mast cells, plasma cells, various epithelial tumors and sarcomas. It is mainly used for the differential diagnosis of myeloid cell tumor and lymphoid cell tumor.
Catalog No
W0369
Species Reactivity
Human;
Clonality
Monoclonal
Host
Mouse
Modifcation
Unmodified
Clone
AB1559
Isotype
IgG2a, kappa
Application
IHC; WB; IF; ELISA
Application Dilutions
IHC, 1:200-1:1000 | WB, 1:500-1:2000 | IF, 1:100-1:500 | ELISA, Recommended starting concentration is 1 µg/mL. Please optimize the concentration based on your specific assay requirements.
Immunogen
A synthetic peptide corresponding to the amino acid region 350 - 450 of the human Myeloperoxidase protein.
Specificity
The antibody can specifically recognize human Myeloperoxidase protein.
Formulation
The antibody is provided in liquid form in phosphate - buffered saline with 50% glycerol, 0.05% BSA, and 0.05% Proclin 300.
Purification
The antibody was purified by protein G affinity chromatography.
Storage and Stability
Store at-20℃. Avoid freeze / thaw cycles.
Gene Name
MPO
Gene ID
4353
Human swiss
P05164
Protein Name
Myeloperoxidase
Synonyms
84 kDa myeloperoxidase, 89 kDa myeloperoxidase, EC 1. 11. 1. 7, EC1. 11. 2. 2, fj80f04, MPO, mpx, myeloid-specific peroxidase, Myeloperoxidase, Myeloperoxidase heavy chain, Myeloperoxidase light chain, PERM_HUMAN, wu:fj80f04
Related Products