25% Off Select Antibodies and ELISA Kits
Sign In/Register 0

We use cookies, check our Privacy Policies.

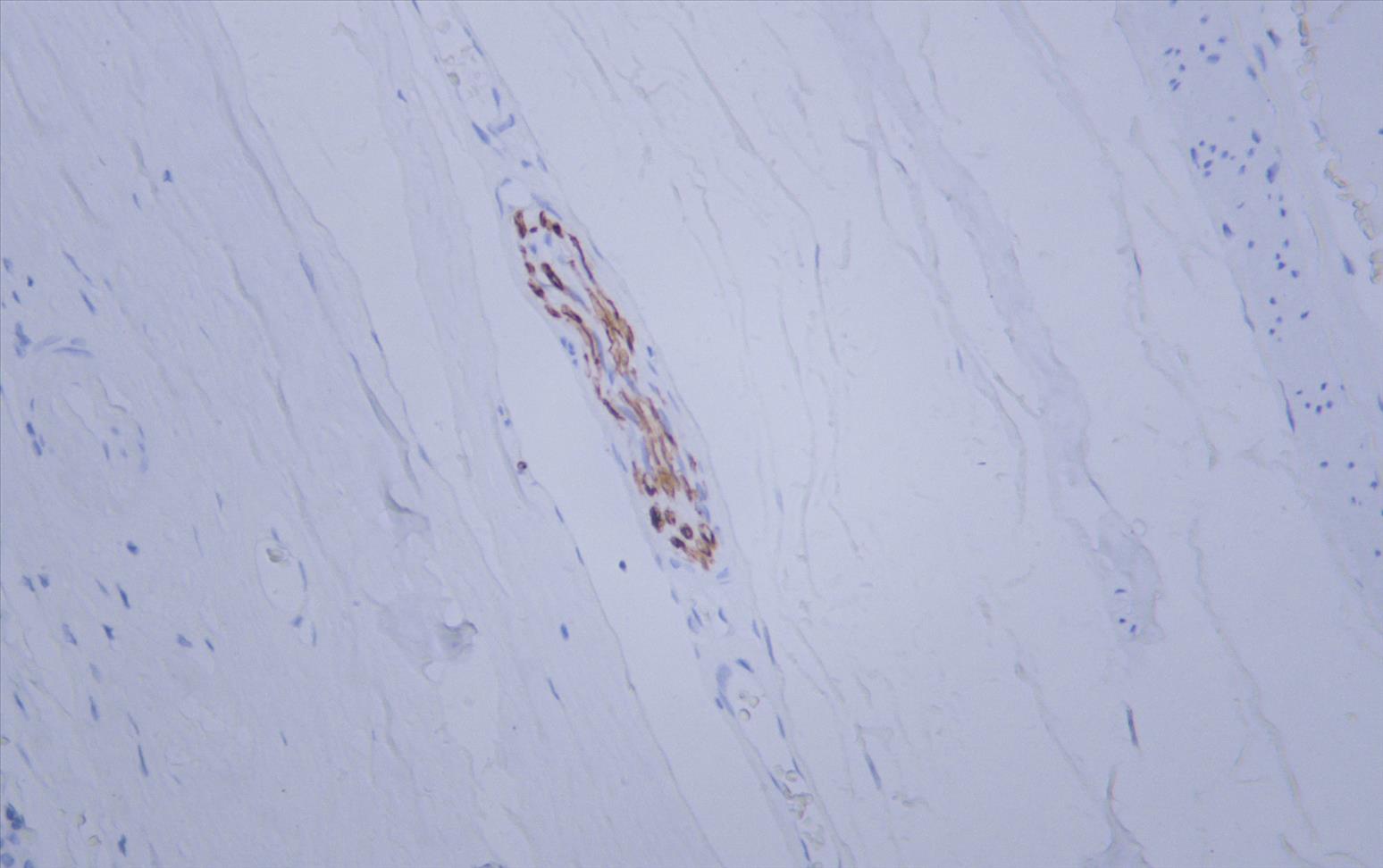
Myelin Basic Protein (MBP) (AB1555) mouse mAb
Myelin Basic Protein (MBP) (AB1555) mouse mAb

Assay Biotechnology Inc Antibodies and ELISA Kits have been rigorously validated for laboratory grade quality results. High specificity paired with high affinity for targets of interest give researchers an advantage with our products

Catalog No: W0368
Species Reactivity:Human; Mouse; Rat;
Application:IHC; WB; IF; ELISA
Host:Mouse
Clonality:Monoclonal
Storage and Stability:Store at-20℃. Avoid freeze / thaw cycles.

$135
Product Details
Product Name
Myelin Basic Protein (MBP) (AB1555) mouse mAb
Description
Myelin basic protein (MBP) is an intracellular protein with highly flexible structure. It mainly exists in myelin of central and peripheral nervous system. It is the main component of myelin structural protein. It is expressed in oligodendrocytes, cerebral white matter myelin, spinal cord myelin, peripheral nerves and Schwann cells. It is expressed in neuromas, neurofibromas and neurodifferentiated tumors, but not in glial cells and gliomas.
Catalog No
W0368
Species Reactivity
Human; Mouse; Rat;
Clonality
Monoclonal
Host
Mouse
Modifcation
Unmodified
Clone
AB1555
Isotype
IgG1, kappa
Application
IHC; WB; IF; ELISA
Application Dilutions
IHC, 1:200-1:1000 | WB, 1:500-1:2000 | IF, 1:100-1:500 | ELISA, Recommended starting concentration is 1 µg/mL. Please optimize the concentration based on your specific assay requirements.
Immunogen
A synthetic peptide corresponding to the amino acid region 150 - 250 of the human Myelin Basic Protein protein.
Specificity
The antibody can specifically recognize human Myelin Basic Protein.
Formulation
The antibody is provided in liquid form in phosphate - buffered saline with 50% glycerol, 0.05% BSA, and 0.05% Proclin 300.
Purification
The antibody was purified by protein G affinity chromatography.
Storage and Stability
Store at-20℃. Avoid freeze / thaw cycles.
Gene Name
MBP
Gene ID
4155
Human swiss
P02686
Protein Name
Myelin Basic Protein
Synonyms
GDB, Golli MBP, Golli MBP, myelin basic protein, Hemopoietic MBP, HMBPR, HUGO, MBP, MBP_CAVPO, MBP_HUMAN, MGC99675, MLD, Myelin A1 protein, Myelin A1 Protein, basic, Myelin basic protein, Myelin Deficient, Myelin membrane encephalitogenic protein, OTTHUMP00000163776, OTTHUMP00000174387, OTTHUMP00000174388, SHI, Shiverer, SP
Related Products