25% Off Select Antibodies and ELISA Kits
Sign In/Register 0

We use cookies, check our Privacy Policies.

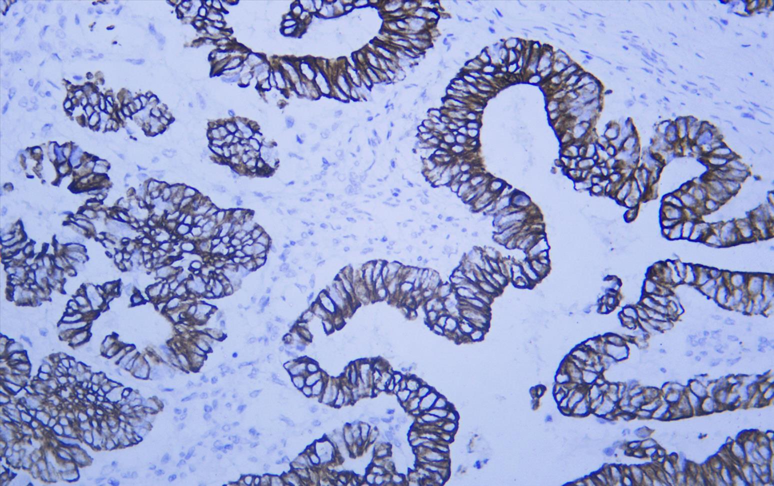
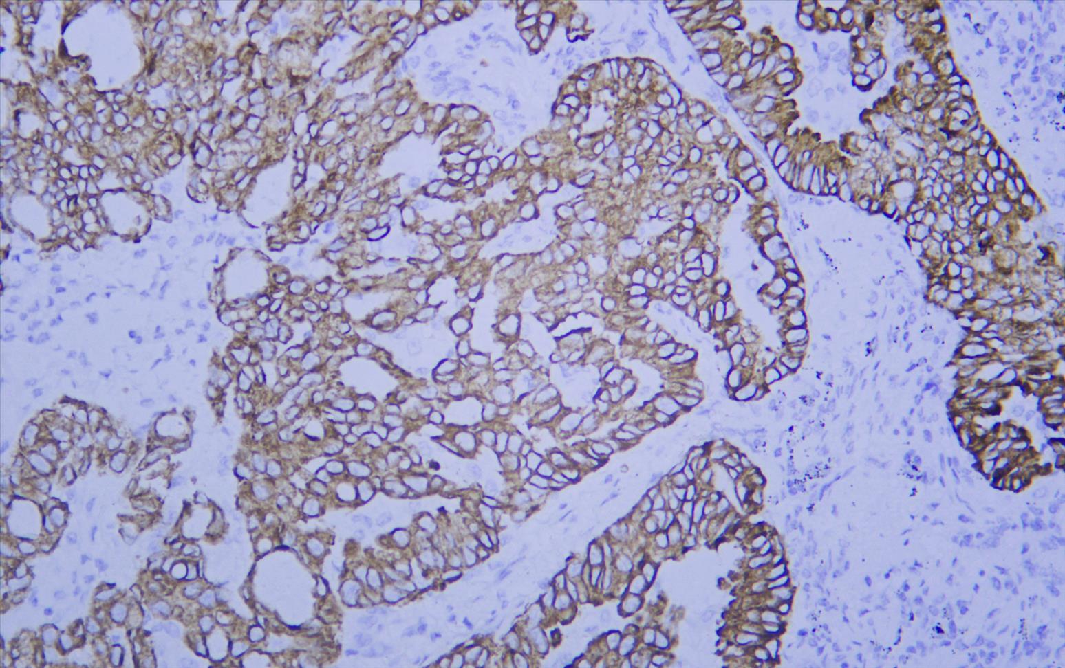
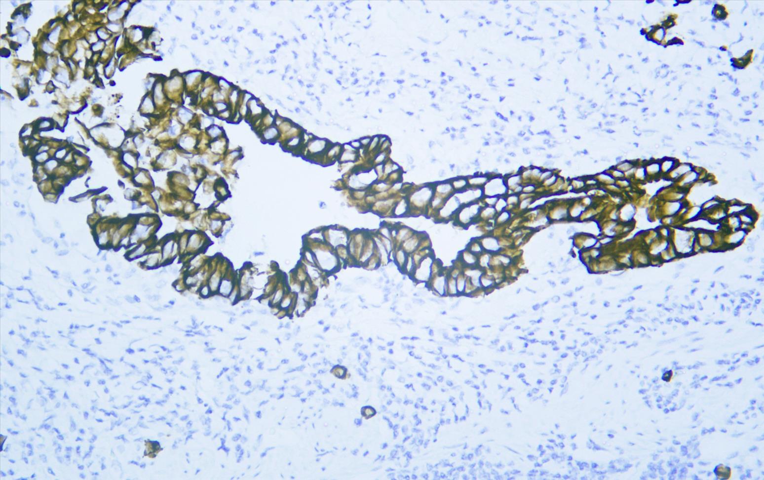
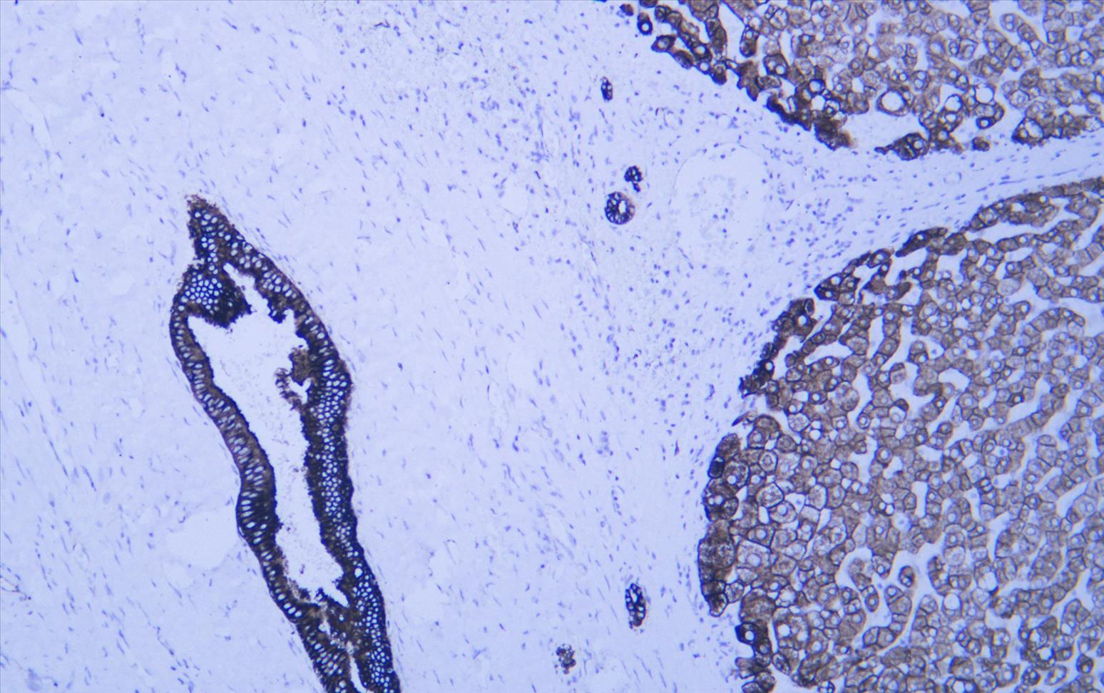
Cytokeratin 8 (AB1457) mouse mAb
Cytokeratin 8 (AB1457) mouse mAb

Assay Biotechnology Inc Antibodies and ELISA Kits have been rigorously validated for laboratory grade quality results. High specificity paired with high affinity for targets of interest give researchers an advantage with our products

Catalog No: W0326
Species Reactivity:Human; Mouse; Rat;
Application:IHC; WB; IF; ELISA
Host:Mouse
Clonality:Monoclonal
Storage and Stability:Store at-20℃. Avoid freeze / thaw cycles.

$135
Product Details
Product Name
Cytokeratin 8 (AB1457) mouse mAb
Description
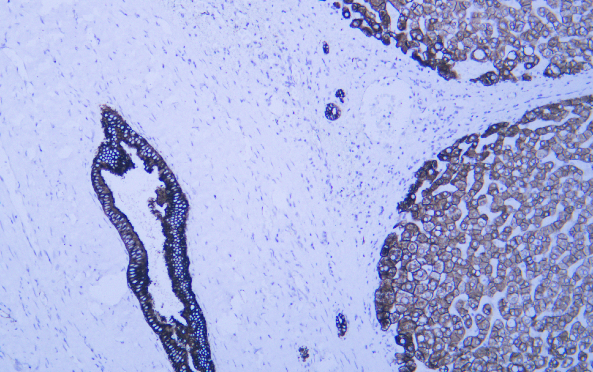
Cytokeratin 8 (CK8) is a member of the type II family of cytokeratins with a molecular weight of 53 kDa which plays a role in maintaining cellular structural integrity and also functions in signal transduction and cellular differentiation. It generally exists in monolayer and pseudostratified epithelium, and is expressed in glandular epithelium, transitional epithelium and hepatocytes. It is absent in squamous cell carcinomas. CK8 dimerizes with CK18 to form an intermediate filament in simple single-layered epithelial cells. CK8/18 expression patterns are useful for classification of tumors of unknown origin and poorly differentiated carcinomas.
Catalog No
W0326
Species Reactivity
Human; Mouse; Rat;
Clonality
Monoclonal
Host
Mouse
Modifcation
Unmodified
Clone
AB1457
Isotype
IgG2a, kappa
Application
IHC; WB; IF; ELISA
Application Dilutions
IHC, 1:200-1:1000 | WB, 1:500-1:2000 | IF, 1:100-1:500 | ELISA, Recommended starting concentration is 1 µg/mL. Please optimize the concentration based on your specific assay requirements.
Immunogen
A synthetic peptide corresponding to the amino acid region 400 - 483 of the human Cytokeratin 8 protein.
Specificity
The antibody can specifically recognize human CK8 protein, and shows no cross reaction with CK1, 4, 5, 6, 7, 10, 15, 16, 17, 18, 20.
Formulation
The antibody is provided in liquid form in phosphate - buffered saline with 50% glycerol, 0.05% BSA, and 0.05% Proclin 300.
Purification
The antibody was purified by protein G affinity chromatography.
Storage and Stability
Store at-20℃. Avoid freeze / thaw cycles.
Gene Name
KRT8
Gene ID
3856
Human swiss
P05787
Protein Name
Cytokeratin 8
Synonyms
CARD2, CK 8, CK-8, CK8, CYK8, CYKER, Cytokeratin endo A, CytokeRatin-8, DreK8, EndoA, K2C8, K2C8_HUMAN, K8, KeRatin 8, KeRatin type II cytoskeletal 8, KeRatin, type II cytoskeletal 8, KeRatin-8, KO, Krt 2. 8, KRT8, MGC118110, MGC174782, MGC53564, MGC85764, sb:cb186, Type-II keRatin Kb8
Related Products