25% Off Select Antibodies and ELISA Kits
Sign In/Register 0

We use cookies, check our Privacy Policies.

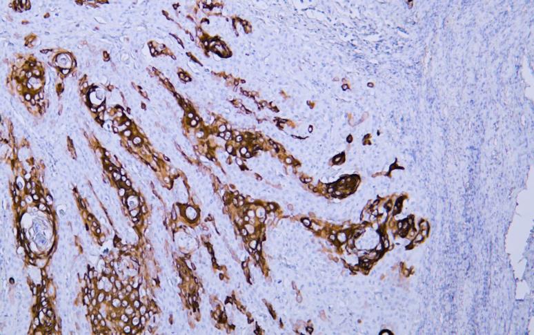
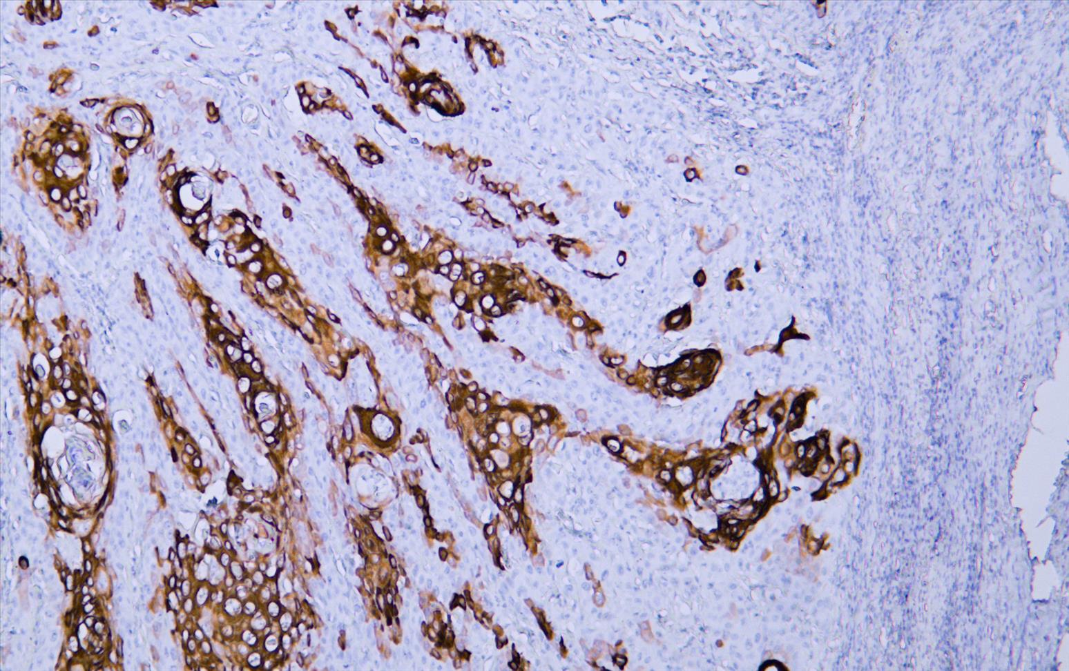
Cytokeratin 13 (AB1253) mouse mAb
Cytokeratin 13 (AB1253) mouse mAb

Assay Biotechnology Inc Antibodies and ELISA Kits have been rigorously validated for laboratory grade quality results. High specificity paired with high affinity for targets of interest give researchers an advantage with our products

Catalog No: W0301
Species Reactivity:Human;
Application:IHC; WB; IF; ELISA
Host:Mouse
Clonality:Monoclonal
Storage and Stability:Store at-20℃. Avoid freeze / thaw cycles.

$135
Product Details
Product Name
Cytokeratin 13 (AB1253) mouse mAb
Description
Cytokeratin 13 (CK13) is a 54 kDa protein which belongs to the intermediate filament family. CK13 protein is highly expressed in normal tissues and gradually decreased or disappeared in malignant tissues. Defects in the CK13 gene may lead to white sponge nevus of cannon (WSN) , a rare autosomal dominant disorder which predominantly affects noncornified stratified squamous epithelia. CK13 can be used as an auxiliary indicator in the diagnosis of precancerous lesions.
Catalog No
W0301
Species Reactivity
Human;
Clonality
Monoclonal
Host
Mouse
Modifcation
Unmodified
Clone
AB1253
Isotype
IgG1, kappa
Application
IHC; WB; IF; ELISA
Application Dilutions
IHC, 1:200-1:1000 | WB, 1:500-1:2000 | IF, 1:100-1:500 | ELISA, Recommended starting concentration is 1 µg/mL. Please optimize the concentration based on your specific assay requirements.
Immunogen
A synthetic peptide corresponding to the amino acid region 400 - 458 of the human Cytokeratin 13 protein.
Specificity
The antibody can specifically recognize human CK13 protein. In western blotting of A431 cell lysate, the antibody can label a 50 kDa band corresponding to CK13.
Formulation
The antibody is provided in liquid form in phosphate - buffered saline with 50% glycerol, 0.05% BSA, and 0.05% Proclin 300.
Purification
The antibody was purified by protein G affinity chromatography.
Storage and Stability
Store at-20℃. Avoid freeze / thaw cycles.
Gene Name
KRT13
Gene ID
3860
Human swiss
P13646
Protein Name
Cytokeratin 13
Synonyms
47 kDa cytokeRatin, CK-13, CK13, Cytokeratin 13, CytokeRatin-13, K13, K1C13_HUMAN, Ka13, KeRatin 13, KeRatin, keRatin type I cytoskeletal 13, KeRatin-13, Krt-1. 13, Krt1-13, KRT13, MGC161462, MGC3781, type I cytoskeletal 13, Type I keRatin Ka13, WSN2
Related Products