25% Off Select Antibodies and ELISA Kits
Sign In/Register 0

We use cookies, check our Privacy Policies.

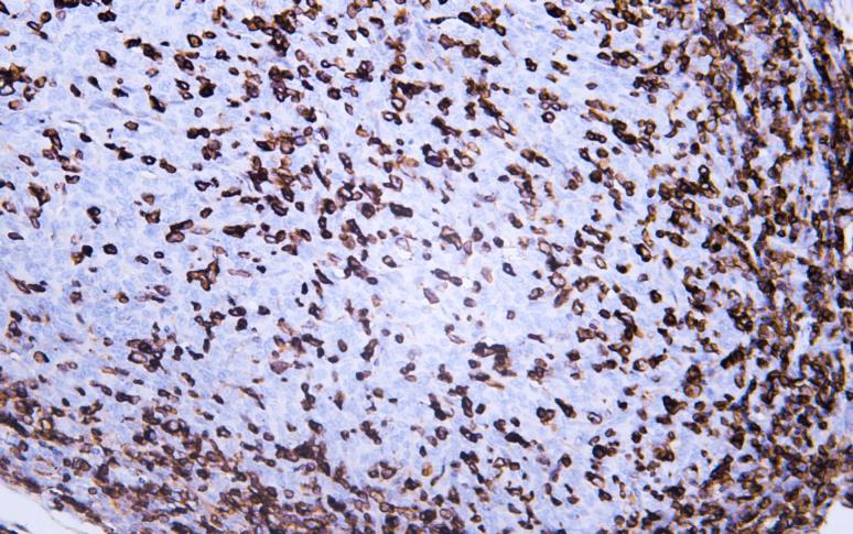
CD99 (AB1307) mouse mAb
CD99 (AB1307) mouse mAb

Assay Biotechnology Inc Antibodies and ELISA Kits have been rigorously validated for laboratory grade quality results. High specificity paired with high affinity for targets of interest give researchers an advantage with our products

Catalog No: W0297
Species Reactivity:Human;
Application:IHC; WB; IF; ELISA
Host:Mouse
Clonality:Monoclonal
Storage and Stability:Store at-20℃. Avoid freeze / thaw cycles.

$135
Product Details
Product Name
CD99 (AB1307) mouse mAb
Description
CD99 is a 32 kDa transmembrane glycoprotein which is thought to be involved in cell adhesion processes. CD99 was expressed in lymphocytes, thymic cortical cells, ovarian granulosa cells, islet cells, Sertoli cells of testis, immature terminal deoxynucleotidyl transferase (TDT) positive T cells, some bone marrow precursor cells and fibroblasts. At the same time, CD99 was also expressed in vascular endothelial cells, urethral epithelium, some columnar and squamous epithelial cells and ependymal cells. It is mainly used for the diagnosis of Ewing's sarcoma and primitive peripheral nerve endodermal tumor.
Catalog No
W0297
Species Reactivity
Human;
Clonality
Monoclonal
Host
Mouse
Modifcation
Unmodified
Clone
AB1307
Isotype
IgG1, kappa
Application
IHC; WB; IF; ELISA
Application Dilutions
IHC, 1:200-1:1000 | WB, 1:500-1:2000 | IF, 1:100-1:500 | ELISA, Recommended starting concentration is 1 µg/mL. Please optimize the concentration based on your specific assay requirements.
Immunogen
A synthetic peptide corresponding to the amino acid region 1 - 100 of the human CD99 protein.
Specificity
The antibody can specifically recognize human CD99 protein.
Formulation
The antibody is provided in liquid form in phosphate - buffered saline with 50% glycerol, 0.05% BSA, and 0.05% Proclin 300.
Purification
The antibody was purified by protein G affinity chromatography.
Storage and Stability
Store at-20℃. Avoid freeze / thaw cycles.
Gene Name
CD99
Gene ID
4267
Human swiss
P14209
Protein Name
CD99
Synonyms
12E7, Antigen identified by monoclonal 12E7, Y homolog, Antigen identified by monoclonal antibodies 12E7, F21 and O13, CD99, Cell surface antigen 12E7, Cell surface antigen HBA 71, Cell surface antigen O13, E2 antigen, HBA71, MIC 2X, MIC 2Y, MIC2, MIC2X, MIC2Y, MSK5X, Protein MIC2, Surface antigen MIC2, T cell surface glycoprotein E2
Related Products