25% Off Select Antibodies and ELISA Kits
Sign In/Register 0

We use cookies, check our Privacy Policies.

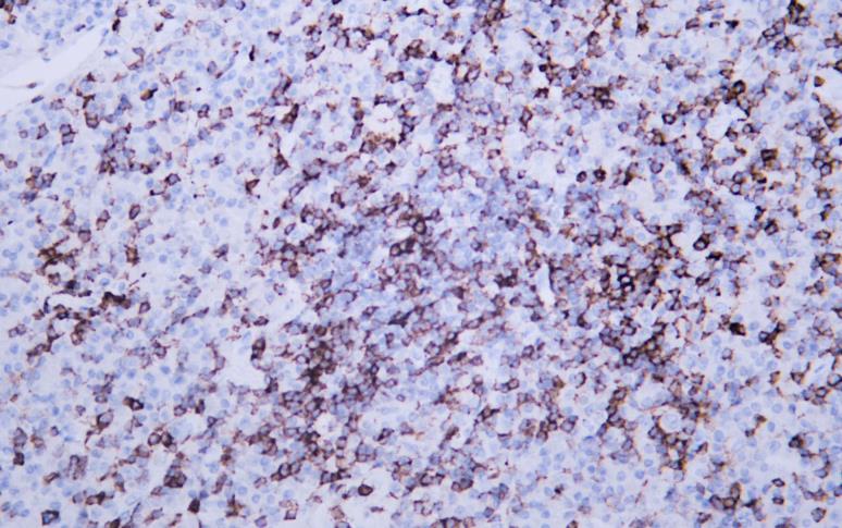
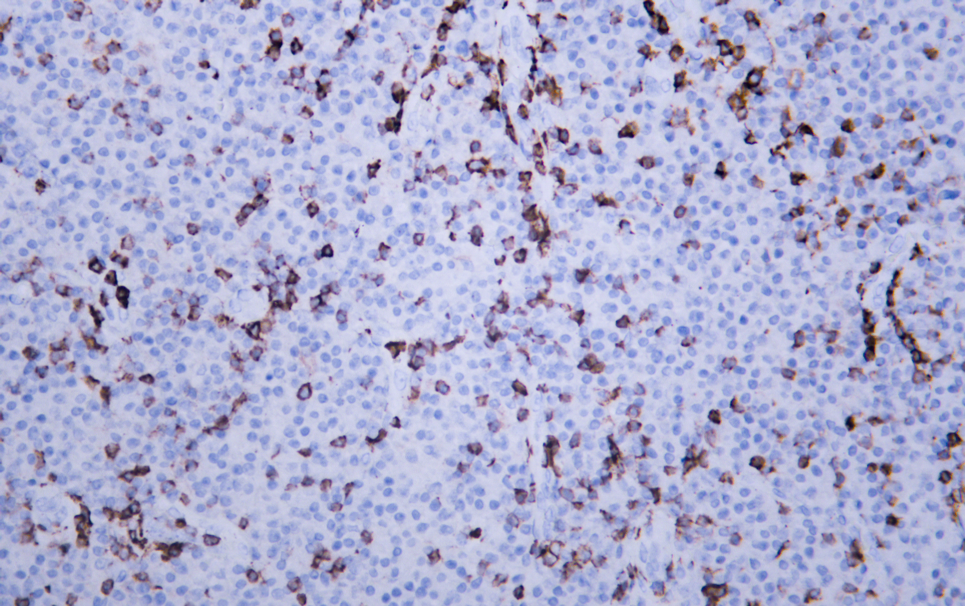
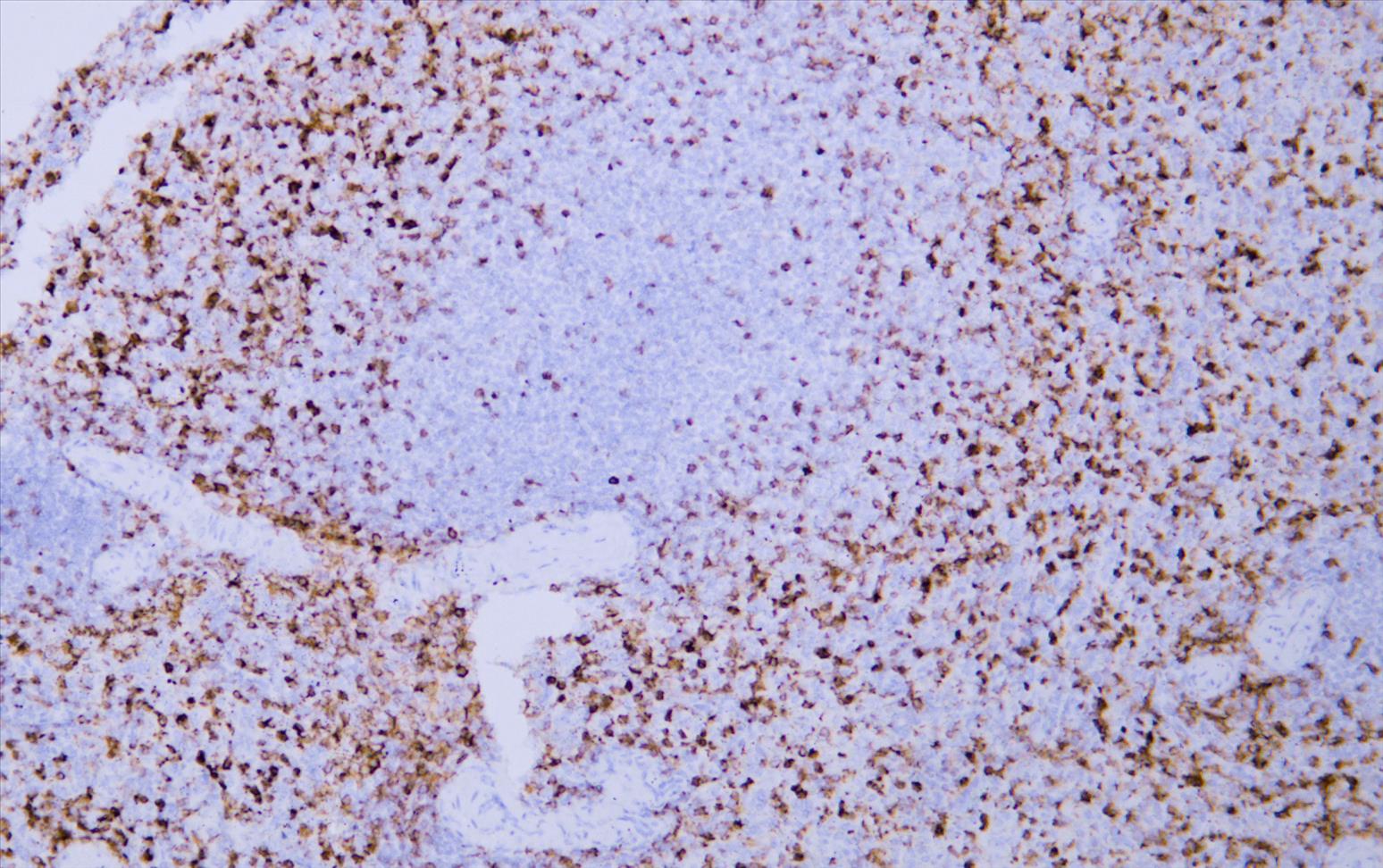
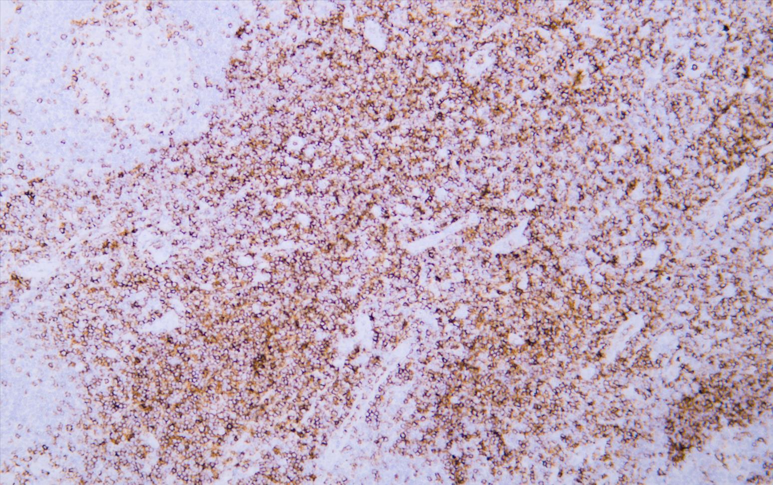
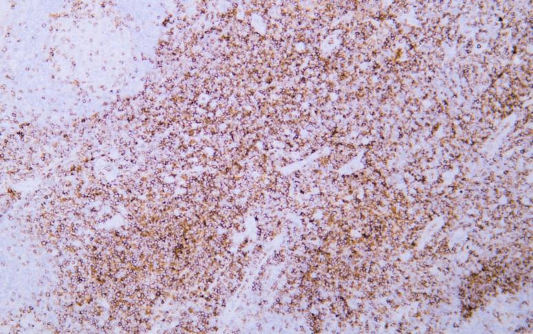
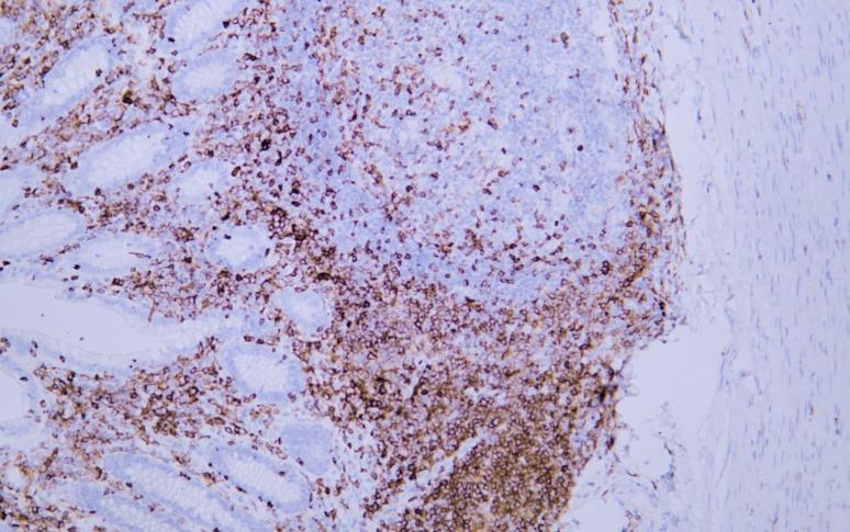
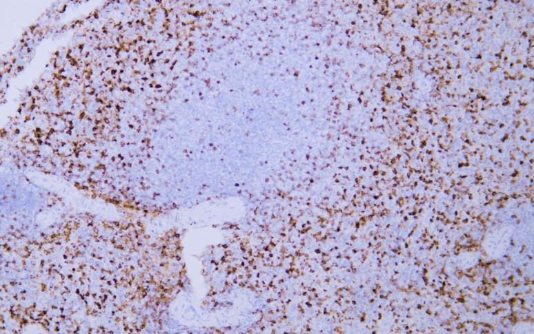
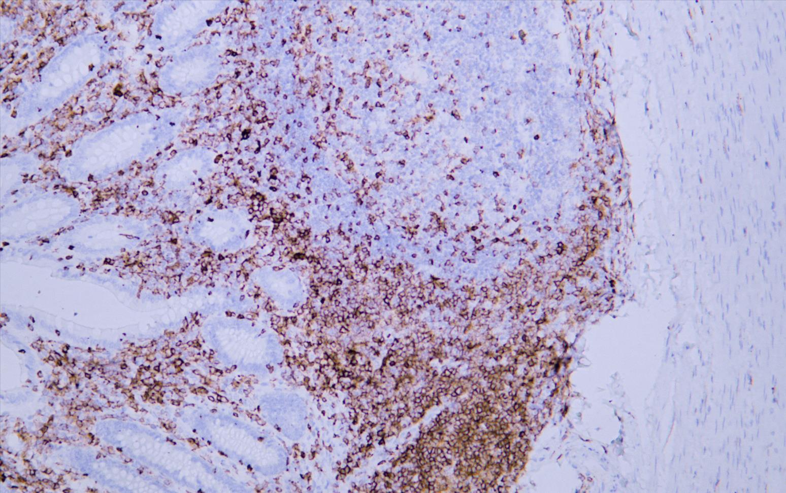
CD43 (AB1506) mouse mAb
CD43 (AB1506) mouse mAb

Assay Biotechnology Inc Antibodies and ELISA Kits have been rigorously validated for laboratory grade quality results. High specificity paired with high affinity for targets of interest give researchers an advantage with our products

Catalog No: W0282
Species Reactivity:Human;
Application:IHC; WB; IF; ELISA
Host:Mouse
Clonality:Monoclonal
Storage and Stability:Store at-20℃. Avoid freeze / thaw cycles.

$135
Product Details
Product Name
CD43 (AB1506) mouse mAb
Description
CD43 is a transmembrane protein related to T cell immune function. It mainly marks T cells and is expressed in normal T lymphocytes, macrophages, myelocytes and plasma cells, but not in normal B cells or reactive B cells. It is expressed in all of the extramedullary myeloma and granulocytic sarcoma, most of the T-lymphocytic lymphoma, acute T-lymphocytic leukemia and acute B-lymphocytic leukemia, some of the low-grade B-cell lymphoma and anaplastic large cell lymphoma.
Catalog No
W0282
Species Reactivity
Human;
Clonality
Monoclonal
Host
Mouse
Modifcation
Unmodified
Clone
AB1506
Isotype
IgG1, kappa
Application
IHC; WB; IF; ELISA
Application Dilutions
IHC, 1:200-1:1000 | WB, 1:500-1:2000 | IF, 1:100-1:500 | ELISA, Recommended starting concentration is 1 µg/mL. Please optimize the concentration based on your specific assay requirements.
Immunogen
A synthetic peptide corresponding to the amino acid region 300 - 400 of the human CD43 protein.
Specificity
The antibody can specifically recognize human CD43 protein.
Formulation
The antibody is provided in liquid form in phosphate - buffered saline with 50% glycerol, 0.05% BSA, and 0.05% Proclin 300.
Purification
The antibody was purified by protein G affinity chromatography.
Storage and Stability
Store at-20℃. Avoid freeze / thaw cycles.
Gene Name
SPN
Gene ID
6693
Human swiss
P16150
Protein Name
CD43
Synonyms
CD 43, CD43, CD43 antigen, Galactoglycoprotein, GALGP, GPL 115, GPL115, Human gene for sialophorin, Leucocyte sialoglycoprotein, LEUK_HUMAN, Leukocyte large sialoglycoprotein, Leukocyte sialoglycoprotein, Leukosialin, LSN, Ly-48, sialophorin (gpL115, leukosialin, CD43) , Sialophorin, Spn
Related Products