25% Off Select Antibodies and ELISA Kits
Sign In/Register 0

We use cookies, check our Privacy Policies.

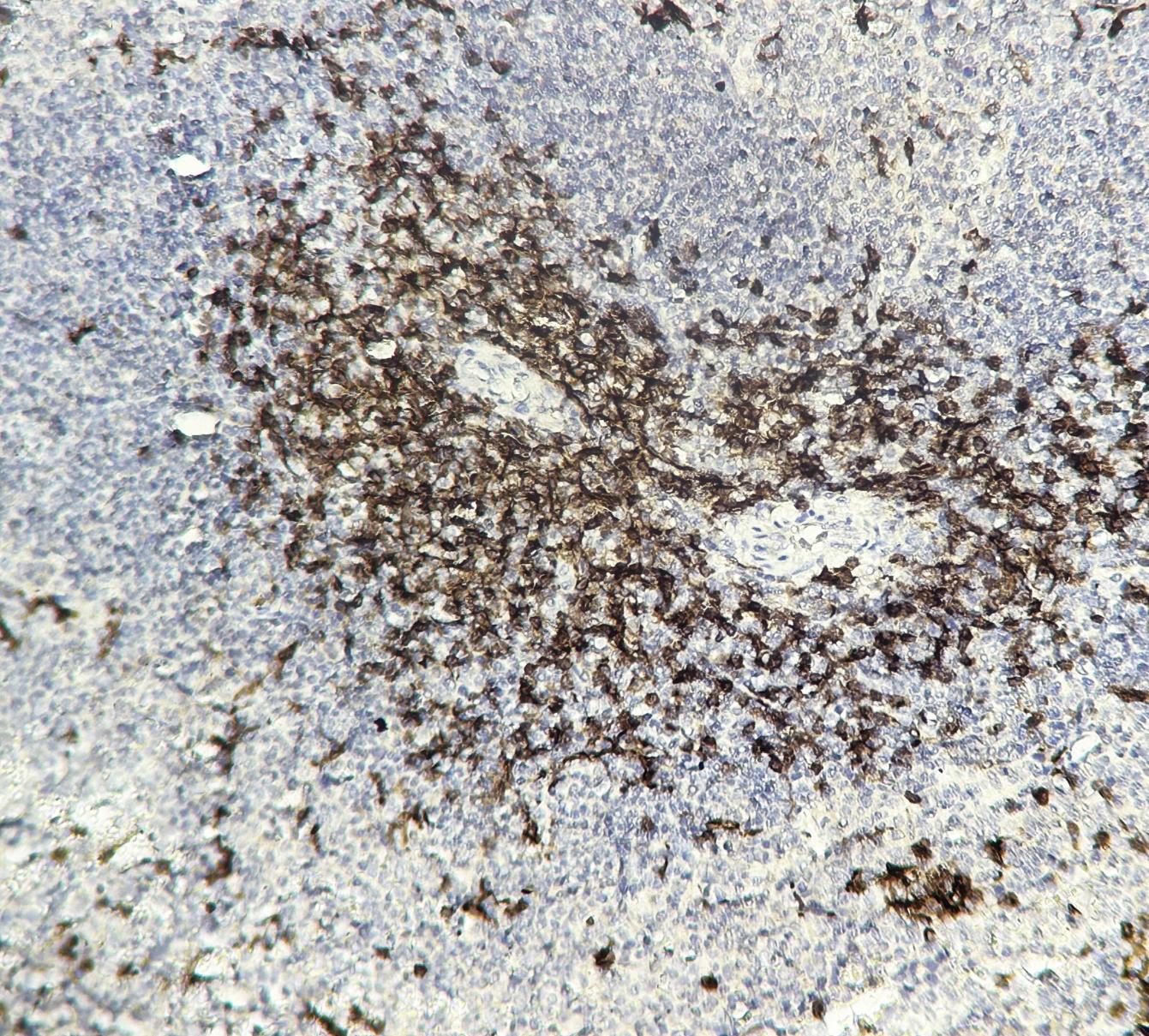
CD8 a (AB2392) mouse mAb
CD8 a (AB2392) mouse mAb

Assay Biotechnology Inc Antibodies and ELISA Kits have been rigorously validated for laboratory grade quality results. High specificity paired with high affinity for targets of interest give researchers an advantage with our products

Catalog No: W0232
Species Reactivity:Mouse;
Application:IHC; WB; IF; ELISA
Host:Mouse
Clonality:Monoclonal
Storage and Stability:Store at-20℃. Avoid freeze / thaw cycles.

$135
Product Details
Product Name
CD8 a (AB2392) mouse mAb
Description
The CD8 antigen is a cell surface glycoprotein found on most cytotoxic T lymphocytes that mediates efficient cell-cell interactions within the immune system. The CD8 antigen acts as a coreceptor with the T-cell receptor on the T lymphocyte to recognize antigens displayed by an antigen presenting cell in the context of class I MHC molecules. The coreceptor functions as either a homodimer composed of two alpha chains or as a heterodimer composed of one alpha and one beta chain. Both alpha and beta chains share significant homology to immunoglobulin variable light chains. This gene encodes the CD8 alpha chain. Multiple transcript variants encoding different isoforms have been found for this gene. [provided by RefSeq, Nov 2011],
Catalog No
W0232
Species Reactivity
Mouse;
Clonality
Monoclonal
Host
Mouse
Modifcation
Unmodified
Clone
AB2392
Isotype
IgG2b, kappa
Application
IHC; WB; IF; ELISA
Application Dilutions
IHC, 1:200-1:1000 | WB, 1:500-1:2000 | IF, 1:100-1:500 | ELISA, Recommended starting concentration is 1 µg/mL. Please optimize the concentration based on your specific assay requirements.
Immunogen
A synthetic peptide corresponding to the amino acid region 150 - 235 of the mouse CD8 a protein.
Specificity
This antibody detects endogenous levels of mouse CD8 a protein.
Formulation
The antibody is provided in liquid form in phosphate - buffered saline with 50% glycerol, 0.05% BSA, and 0.05% Proclin 300.
Purification
The antibody was purified by protein G affinity chromatography.
Storage and Stability
Store at-20℃. Avoid freeze / thaw cycles.
Gene Name
CD8A MAL
Gene ID
925
Human swiss
P01732
Protein Name
CD8 a
Synonyms
T-cell surface glycoprotein CD8 alpha chain (T-lymphocyte differentiation antigen T8/Leu-2, CD antigen CD8a,
Related Products