25% Off Select Antibodies and ELISA Kits
Sign In/Register 0

We use cookies, check our Privacy Policies.

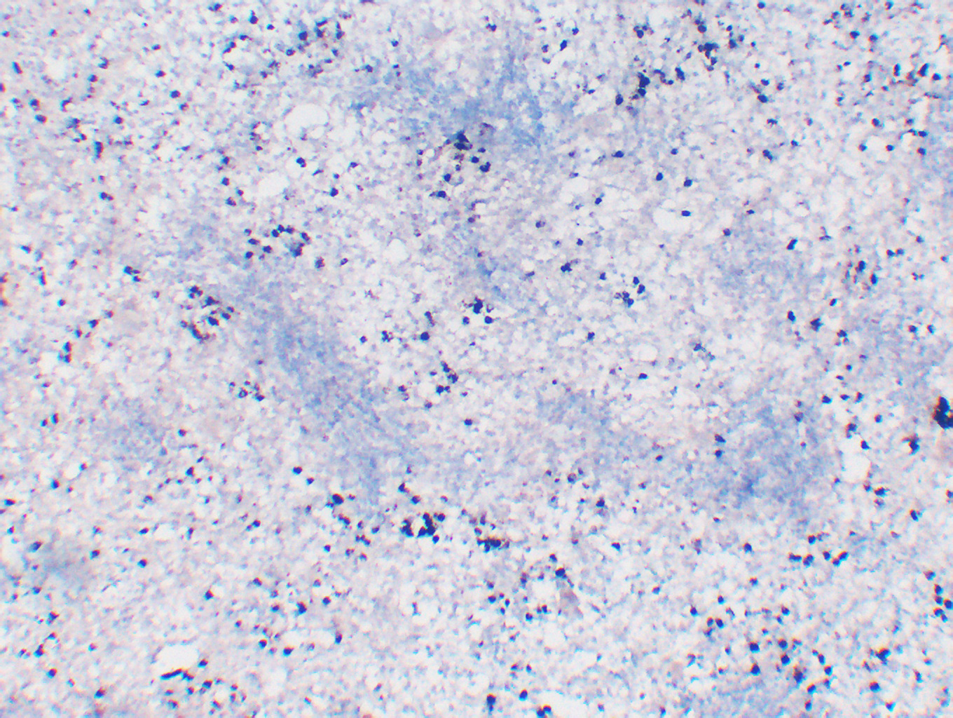
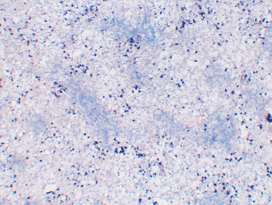
Myeloperoxidase (MPO) (AB2473) mouse mAb
Myeloperoxidase (MPO) (AB2473) mouse mAb

Assay Biotechnology Inc Antibodies and ELISA Kits have been rigorously validated for laboratory grade quality results. High specificity paired with high affinity for targets of interest give researchers an advantage with our products

Catalog No: W0226
Species Reactivity:Human; Mouse; Rat;
Application:IHC; WB; IF; ELISA
Host:Mouse
Clonality:Monoclonal
Storage and Stability:Store at-20℃. Avoid freeze / thaw cycles.

$135
Product Details
Product Name
Myeloperoxidase (MPO) (AB2473) mouse mAb
Description
Myeloperoxidase (MPO) is a heme protein synthesized during myeloid differentiation that constitutes the major component of neutrophil azurophilic granules. Produced as a single chain precursor, myeloperoxidase is subsequently cleaved into a light and heavy chain. The mature myeloperoxidase is a tetramer composed of 2 light chains and 2 heavy chains. This enzyme produces hypohalous acids central to the microbicidal activity of neutrophils. [provided by RefSeq, Nov 2014]
Catalog No
W0226
Species Reactivity
Human; Mouse; Rat;
Clonality
Monoclonal
Host
Mouse
Modifcation
Unmodified
Clone
AB2473
Isotype
IgG
Application
IHC; WB; IF; ELISA
Application Dilutions
IHC, 1:200-1:1000 | WB, 1:500-1:2000 | IF, 1:100-1:500 | ELISA, Recommended starting concentration is 1 µg/mL. Please optimize the concentration based on your specific assay requirements.
Immunogen
A synthetic peptide corresponding to the amino acid region 350 - 450 of the human Myeloperoxidase protein.
Specificity
This antibody detects endogenous levels of MPO protein.
Formulation
The antibody is provided in liquid form in phosphate - buffered saline with 50% glycerol, 0.05% BSA, and 0.05% Proclin 300.
Purification
The antibody was purified by protein G affinity chromatography.
Storage and Stability
Store at-20℃. Avoid freeze / thaw cycles.
Gene Name
MPO
Gene ID
4353
Human swiss
P05164
Protein Name
Myeloperoxidase
Synonyms
84 kDa myeloperoxidase antibody, 89 kDa myeloperoxidase antibody, EC 1. 11. 1. 7 antibody, EC1. 11. 2. 2 antibody, fj80f04 antibody, MPO antibody, mpx antibody, myeloid-specific peroxidase antibody, Myeloperoxidase antibody, Myeloperoxidase heavy chain antibody, Myeloperoxidase light chain antibody, PERM_HUMAN antibody, wu:fj80f04 antibody
Related Products