25% Off Select Antibodies and ELISA Kits
Sign In/Register 0

We use cookies, check our Privacy Policies.

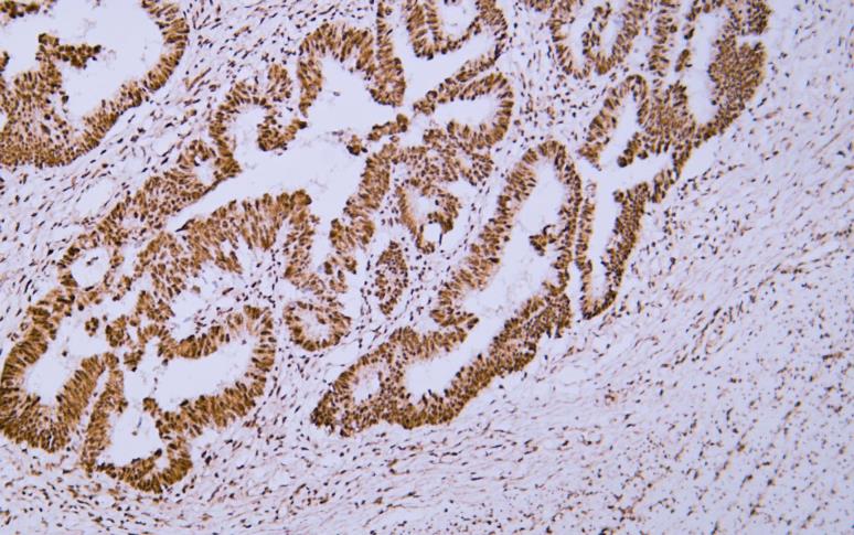
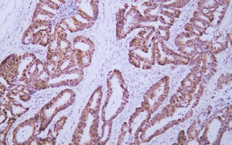
Postmeiotic Segregation Increased 2 (PMS2) (AB2348) mouse mAb
Postmeiotic Segregation Increased 2 (PMS2) (AB2348) mouse mAb

Assay Biotechnology Inc Antibodies and ELISA Kits have been rigorously validated for laboratory grade quality results. High specificity paired with high affinity for targets of interest give researchers an advantage with our products

Catalog No: V0585
Species Reactivity:Human; Mouse;
Application:Immunohistochemistry (IHC)
Host:Mouse
Clonality:Monoclonal
Storage and Stability:Store at-20℃. Avoid freeze / thaw cycles.

$75
Product Details
Product Name
Postmeiotic Segregation Increased 2 (PMS2) (AB2348) mouse mAb
Description
Human mismatch repair genes play an important role in maintaining the integrity and stability of genetic information and avoiding genetic mutation. PMS2 is a mismatch repair protein with a molecular weight of 96kDa, located on chromosome 7. It mainly corrects single base mismatch and small fragment mismatch in vivo. PMS2 forms heterodimer with MLH1 protein and coordinates the binding of other proteins after being activated by ATP to repair DNA errors during cell division. At present, it is mostly used for Lynch syndrome screening together with MLH1, MSH2 and MSH6.
Catalog No
V0585
Species Reactivity
Human; Mouse;
Clonality
Monoclonal
Host
Mouse
Modifcation
Unmodified
Clone
AB2348
Isotype
IgG1, kappa
Application
Immunohistochemistry (IHC)
Application Dilutions
IHC, 1:50-1:100
Immunogen
A synthetic peptide corresponding to the amino acid region 600 - 700 of the human Postmeiotic Segregation Increased 2 protein.
Specificity
The antibody can specifically recognize human PMS2 protein.
Formulation
The antibody is provided in liquid form in phosphate - buffered saline with 50% glycerol, 0.05% BSA, and 0.05% Proclin 300.
Purification
The antibody was purified by affinity chromatography using a specific immunogen.
Storage and Stability
Store at-20℃. Avoid freeze / thaw cycles.
Gene Name
PMS2
Gene ID
5395
Human swiss
P54278
Protein Name
Postmeiotic Segregation Increased 2
Synonyms
DNA mismatch repair gene homologue, DNA mismatch repair protein PMS2, H_DJ0042M02. 9, HNPCC4, Mismatch repair endonuclease PMS2, Mismatch repair gene PMSL2, MLH4, PMS 2, PMS1 homolog 2 mismatch repair system, PMS1 protein homolog 2, PMS2, PMS2 postmeiotic segregation increased 2, PMS2 postmeiotic segregation increased 2 (S. cerevisiae) , PMS2_HUMAN, PMS2CL, PMSL2, Postmeiotic segregation increased, S. cerevisiae, 2
Related Products