25% Off Select Antibodies and ELISA Kits
Sign In/Register 0

We use cookies, check our Privacy Policies.

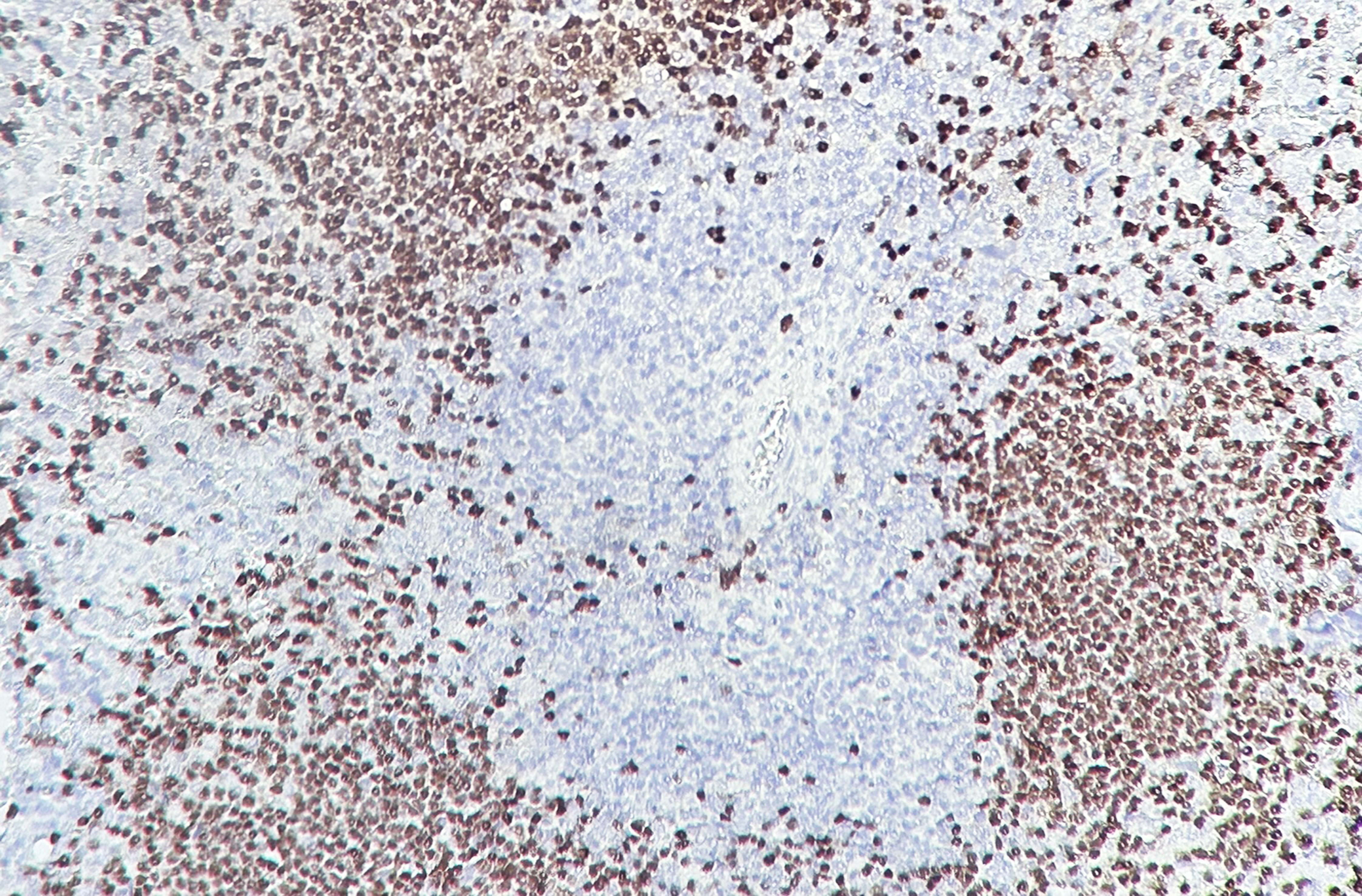
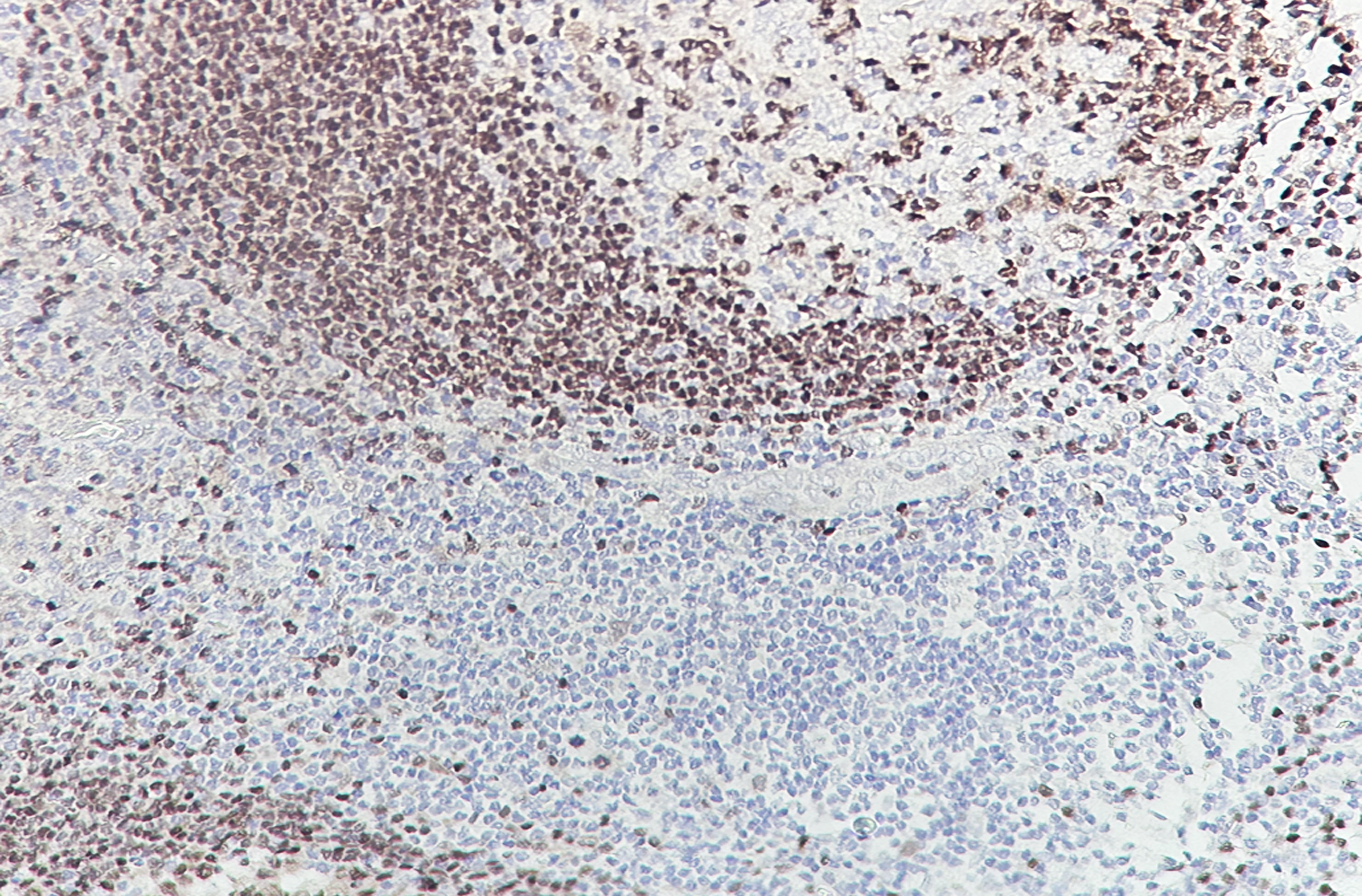
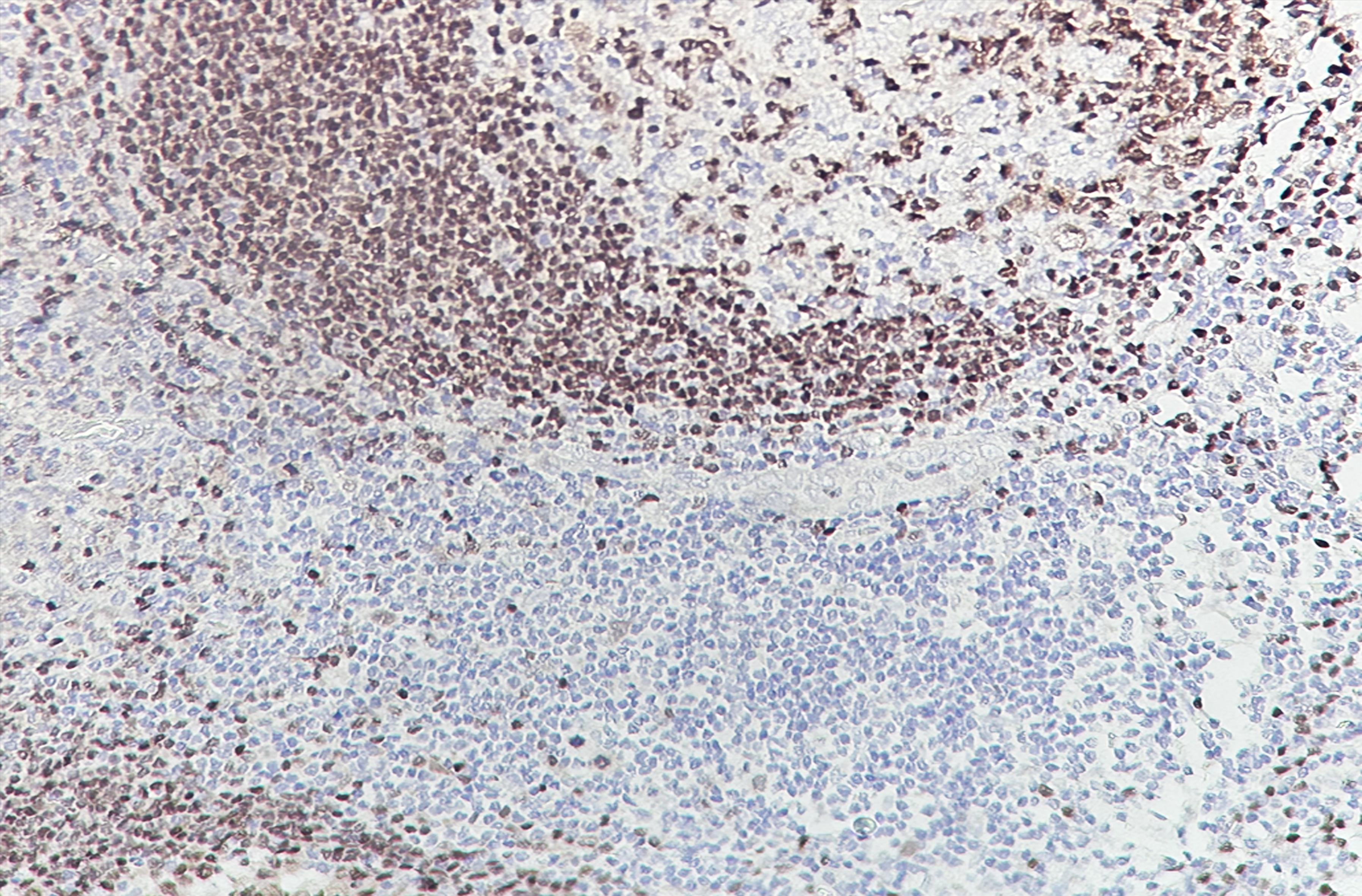
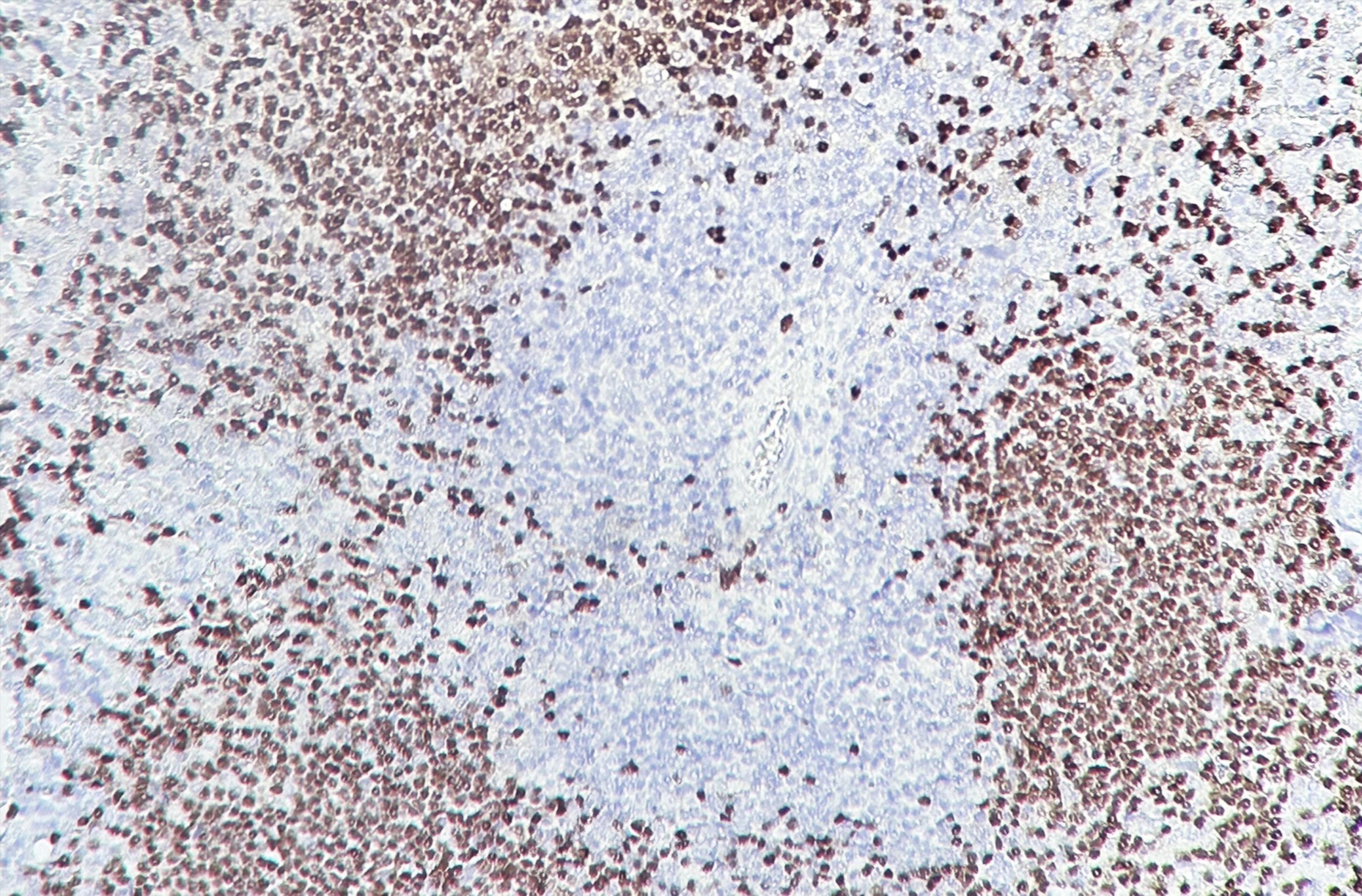
PAX-5 (AB2386) mouse mAb
PAX-5 (AB2386) mouse mAb

Assay Biotechnology Inc Antibodies and ELISA Kits have been rigorously validated for laboratory grade quality results. High specificity paired with high affinity for targets of interest give researchers an advantage with our products

Catalog No: V0584
Species Reactivity:Human; Mouse; Rat;
Application:Immunohistochemistry (IHC)
Host:Mouse
Clonality:Monoclonal
Storage and Stability:Store at-20℃. Avoid freeze / thaw cycles.

$75
Product Details
Product Name
PAX-5 (AB2386) mouse mAb
Description
BSAP, also designated Pax-5 (protein) , 52 kDa, is a member of the paired-box transcription factors, involved in control of organ development and tissue differentiation. PAX-5 is expressed primarily in pro-, pre-, and mature B cells, but not in plasma cells. Pax5 is a sensitive but not 100% specific marker of B-cell differentiation used to aid in the identification of normal and neoplastic cells of B-lymphocytic lineage.
Catalog No
V0584
Species Reactivity
Human; Mouse; Rat;
Clonality
Monoclonal
Host
Mouse
Modifcation
Unmodified
Clone
AB2386
Isotype
IgG1, kappa
Application
Immunohistochemistry (IHC)
Application Dilutions
IHC, 1:200-1:400
Immunogen
A synthetic peptide corresponding to the amino acid region 300 - 383 of the human PAX - 5 protein.
Specificity
The antibody can specifically recognize human PAX-5 protein.
Formulation
The antibody is provided in liquid form in phosphate - buffered saline with 50% glycerol, 0.05% BSA, and 0.05% Proclin 300.
Purification
The antibody was purified by affinity chromatography using a specific immunogen.
Storage and Stability
Store at-20℃. Avoid freeze / thaw cycles.
Gene Name
PAX5
Gene ID
5079
Human swiss
Q02548
Protein Name
PAX-5
Synonyms
Paired box protein Pax-5 (B-cell-specific transcription factor) (BSAP)
Related Products